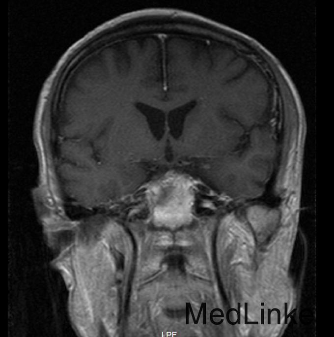
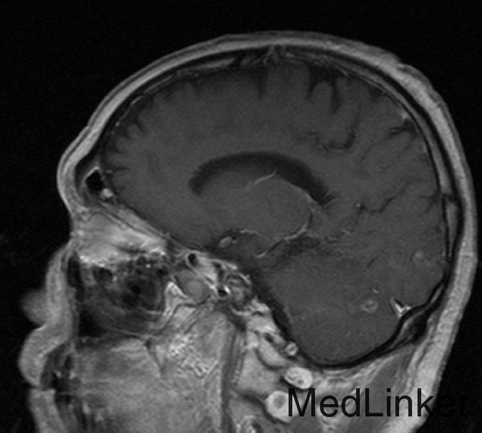
患者,男,56岁,因“右肺腺癌术后3年半余,头痛半年”入院。患者3.5年余前因肺癌在当地医院行手术治疗,术后予化疗8次,放疗32次,2年余前复查胸部CT见两肺转移。6月前患者出现头痛,不剧可忍,无视力模糊。
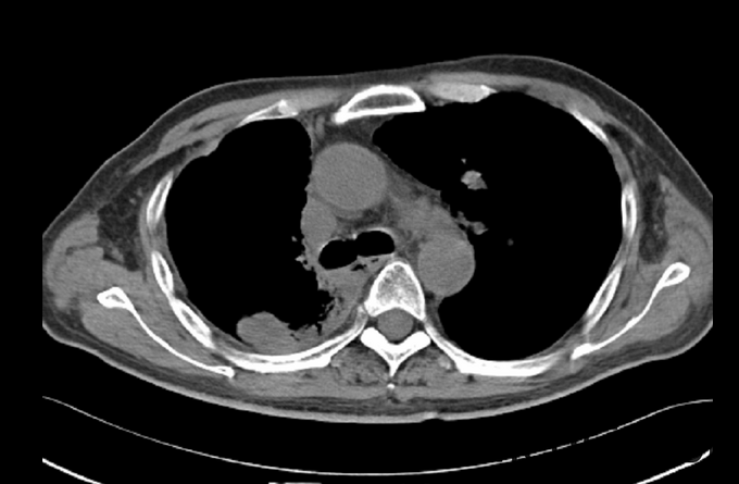
神清,精神可,生命体征平稳,双侧瞳孔等大等圆,直径约3mm,对光反射灵敏,动眼自主,额纹对称,嘴角伸舌无歪斜。颈软,心肺听诊无殊,右侧侧胸部可见长约12cm手术疤痕,愈合可,腹平软,肝脾肋下未及,四肢感觉对称,活动自主,肌力5级,肌张力不高,病理征阴性。 辅助检查: (2015-08-06 13:58)行放射检查(胸部)检查提示:肺癌术后改变,两肺弥漫性结节,转移瘤首先考虑;右侧胸腔积液。
初步诊断:1.颅内转移性肿瘤 2.右肺腺癌术后,两肺转移。入院后完善相关检查:(2015-10-01 18:34)(急诊)血常规(血液):白细胞计数16.6×10^9/L↑、中性粒细胞百分比95.4%↑、(2015-10-01 19:19)(急诊)降钙素原(血液):C-反应蛋白217.5mg/L↑、癌胚抗原248.9ng/mL↑、癌抗原199354.0U/mL↑、癌抗原12556.0U/mL↑、癌抗原24277.8U/mL↑,(2015-10-05 14:04)行CT(胸部)检查提示:肺癌术后改变,两肺多发结节,考虑转移,较前(2014.05.05)增大、增多。入院后予邦达抗感染、甲泼尼龙40mg bid静滴减轻炎症反应,冸托拉唑40mg qd护胃,奥拉西坦4g qd修复脑神经,经治疗后患者病情好转,目前病情稳定,今予出院。


出院情况:患者无咳嗽咳痰、无发热,无头痛不适。查体:神清,精神可,生命体征平稳,双侧瞳孔等大等圆,直径约3mm,对光反射灵敏,动眼自主,额纹对称,嘴角伸舌无歪斜。颈软,心肺听诊无殊,右侧侧胸部可见长约12cm手术疤痕,愈合可,腹平软,肝脾肋下未及,四肢感觉对称,活动自主,肌力5级,肌张力不高,病理征阴性。
