下载或打开 医联APP 查看完整评论
立即下载
打开APP
25岁男性患者,因阑尾穿孔引流术后10天收住入院。2周前无明显诱因出现右下腹痛,伴发热、恶心、呕吐,最高体温达39℃,在当地医院行抗感染、补液等处理后无明显好转,于2015-09-17在全麻下行腹腔镜下阑尾周围脓肿及盆腔脓肿引流置管术。2015-09-26行介入置管引流术,引流出大量灰黄色脓液伴恶臭。遂自行出院来我院就诊。
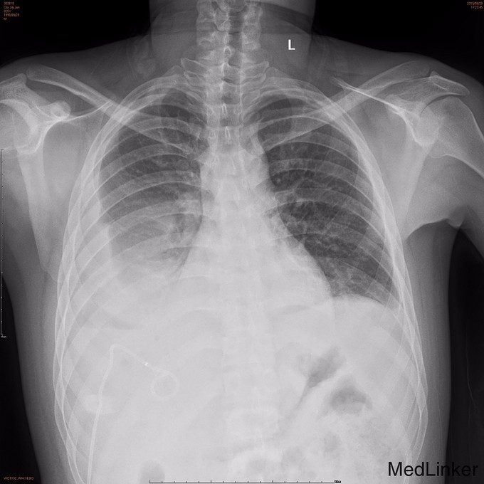
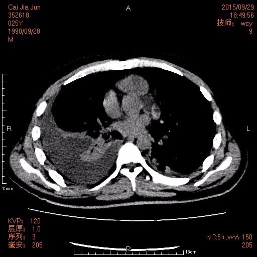
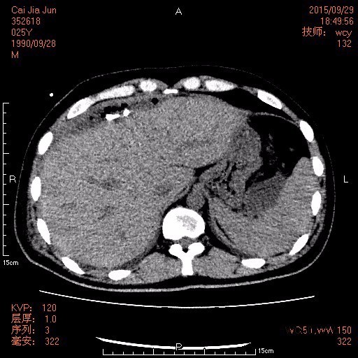
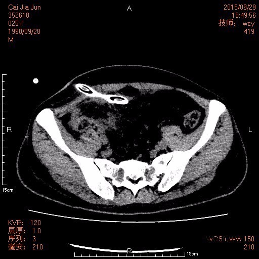
查体: 腹部平软,右下腹及右上腹可见两条引流管,引流出棕色臭味脓液,右下腹有压痛、反跳痛,余腹无压痛及反跳痛。 辅查: 1.腹部CT:1.原阑尾炎穿孔并周围及腹盆腔多发包裹性脓肿形成治疗后复查,现累及范围如上述,与前对比盆腹腔多发脓肿明显吸收变小。 2.腹膜炎;腹腔少量积液,与前对比减少。 3.双侧胸腔积液,与前对比减少;双肺下叶节段性肺不张,较前复张。 4.肝多发小囊肿。 2.胸片:1.右侧胸腔中量积液,左侧胸腔少量积液。 2.双下肺炎症及肺压缩性不张。 3.腹腔引流液培养:大肠埃希菌;屎肠球菌(D群)。




诊断:阑尾穿孔并腹腔脓肿形成。 治疗:伤口换药、抗感染、补白蛋白、控制血糖等处理,复查CT见腹腔包裹性脓肿明显吸收变小,予拔除引流管,无明显发热,予办理出院。
一般转移性右下腹疼痛较易让人联想到阑尾炎,但老、幼、孕因其特殊生理情况,症状往往不明显,容易出现阑尾穿孔、坏疽、脓肿形成,如大网膜功能完好,往往只有局限性腹膜炎。如已有巨大脓肿形成,一般予通畅引流,阑尾残端二期处理。