下载或打开 医联APP 查看完整评论
立即下载
打开APP
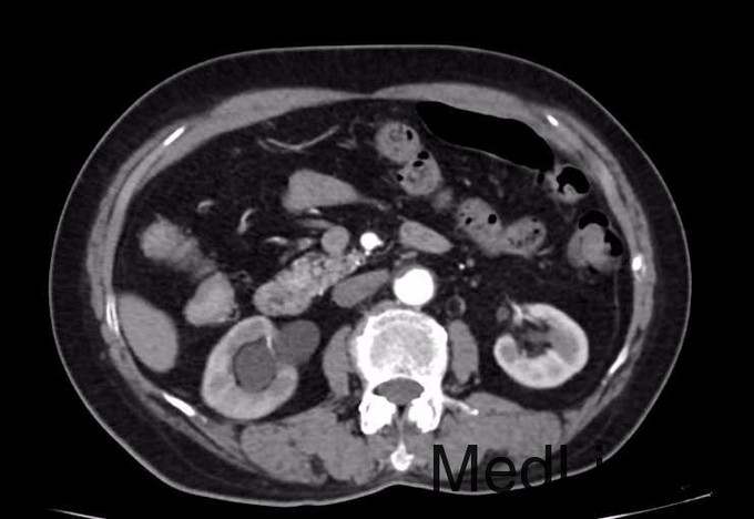
患者女,76岁,主因“腰痛4年,体检发现右肾积水2月余”收入院。 患者诉四年前无明显诱因出现右侧腰部疼痛,为钝痛,未予重视,直至今年8月份突发尿频症状,每天10余次,尿色正常,无尿痛,在海军总院体检发现右侧肾积水;我院CT提示:1、右输尿管中下段有软组织影,考虑占位性变,近端输尿管及肾盂肾盏处积水扩张,2、胆囊结石。今患者为求进一步诊治,遂来我科就诊,门诊以“输尿管占位性病变”收入住院
见病史

输尿管占位性病变 输尿管镜活检术
目前待病理,来决定下一步治疗动向