下载或打开 医联APP 查看完整评论
立即下载
打开APP
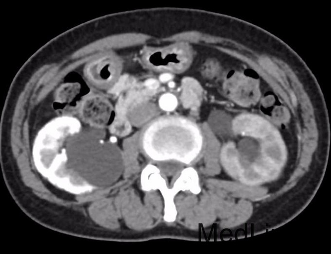
患者曾传华,女,65岁,主因左腰胀痛1月收入院。 患者1月前无明显诱因出现左腰部胀痛,阵发性发作,无尿频、尿急、尿痛,无恶心呕吐及发热。当地医院B超检查示左肾积水,遂至我院检查,CT(2015-9-30)示:左侧输尿管中段占位,考虑肿瘤性病变可能,继发左侧输尿管、肾盂肾盏扩张、积水。今为进一步诊治转来我院,今日收入院。
见病史

输尿管占位 输尿管镜取活检
这个病例上级大夫几乎认定是输尿管癌,已经准备做手术了,然而活检结果却显示慢性炎症!