打开应用

输尿管占位一例。

李医师   中日友好医院
输尿管肿瘤 输尿管扩张

主诉 病史

主诉:女性,75岁,体检发现左肾及输尿管上段积水1月。 现病史:1月前行B超检查发现左肾及输尿管上段积水,无发热、腰痛,无尿频、尿急、尿痛、血尿等不适。余无特殊。 既往史、个人史、婚育史、家族史无特殊。

查体 辅查

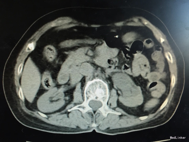
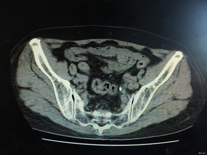
查体:无明显异常。 辅助检查:泌尿系CT如下图所示:左侧输尿管下段可见软组织密度影,其上输尿管、肾盂肾盏明显扩张、积水。腹、盆腔未见明显肿大淋巴结影。考虑输尿管下段软组织肿瘤性病变可能。

诊断 处理

诊断:输尿管占位(输尿管肿瘤可能性大),肾盂输尿管扩张积水。 治疗:输尿管镜检查+病理活检,明确病理后再行下一步治疗方案。

随访 讨论

随访及讨论:输尿管活检回报为尿路上皮癌,遂行左肾、输尿管全长切除+膀胱袖状切除,患者好转出院。

发布于 15-11-14 13:20

3 个评论

发送