下载或打开 医联APP 查看完整评论
立即下载
打开APP
患者男,62岁,主因“咳嗽5年余,咳血4天。”收入院。 咳嗽5年余,咳黄色粘痰,无痰中带血,无发热,偶伴胸闷。2年前体检行胸部CT检查发现左上肺占位病变,考虑为肺结核可能,经抗结核治疗后咳嗽症状未见明显好转。4天前出现咳鲜红色血,总量约250ml,于当地医院行胸部CT检查,提示左上肺占位性病变,未见明显纵隔淋巴结肿大,经止血、抗炎治疗后仍有间断性少量咳血。近2天转为咳鲜红色血块。
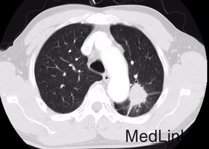
胸部CT:左上肺占位性病变,直径约4cm,边界不清,伴周围胸膜挛缩,无纵膈淋巴结肿大

1.肺占位性病变 2.高血压病 电子支气管镜检查
镜下所见:声门开合良好,气管内可见血迹,隆突锐利,左肺上叶后段支气管内可见菜花样肿物,活检刷片 拟最终行肺癌根治术