患者女,23岁。18年前无意问发现右侧耳屏后出现约黄豆大小、质地较硬的肿物,2007年5月肿物进行性增大,无其他不适,1个月后来甘肃省肿瘤医院就诊。
体格检查:右耳屏后可触及一约1.5 cm×2.0 cm的肿物,与周围界清,触之较硬,颌下腺及舌下腺正常,颈部活动正常o B超示右侧腮腺实性占位,考虑为右侧腮腺混合瘤。




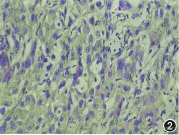
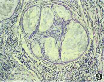
患者于全麻下行右腮腺浅叶及瘤体切除,将切除标本全部送检。临床诊断:右腮腺混合瘤。病理检查:右腮腺灰白色不整形组织,大小为6 cm×3 cm×2 cm,切面见直径为2 cm灰白色肿物。边界清,质地韧,中央伴钙化。镜下观察:肿瘤无明显包膜,与周围腮腺组织混杂存在。瘤组织中央可见大量高度增生的胶原纤维(图1),其间见巢状、片状分布,呈浸润性生长的鳞状细胞,细胞呈多角形或圆形,鳞状细胞中度异形,核分裂象少见(图2),局部可见单个鳞状细胞浸润于间质。另见呈巢状分布的黏液细胞及中间型细胞(图3)。间质见钙化、周围大量淋巴细胞及少量嗜酸细胞浸润,并有淋巴滤泡形成。其免疫表型:肿瘤组织中黏液细胞癌胚抗原(carcinoembryonicantigen,CEA)阳性(图4)、低分子量细胞角蛋白(cytokeratin,CK)阳性(图5),非角化的表皮样细胞及中间型细胞CEA(一),鳞状细胞高分子量CK(+,,Ki-67(一),原癌基因人类表皮生长因子受体2(一)。病理诊断:腮腺硬化性黏液表皮样癌。
患者术后辅以放疗,至今已65个月,随访无复发。 腮腺硬化性黏液表皮样癌(sclerosingmucoepide蝴oid carcinoma,SMEC)少见。首先被Chan等报道,此肿瘤多发生于年轻女性。临床主要表现为无痛性肿块,一般病程较长,术前易诊断为混合瘤;文献报道该肿瘤中央为增生的胶原纤维,外周嗜酸细胞或淋巴细胞浸润口。本例可看到胶原纤维增生明显,外周淋巴细胞及少量嗜酸细胞浸润。已报道的病例多发生于甲状腺,发生于涎腺者少见,国外文献仅报道15例。 本例术后辅以放疗,术后至今随访无复发。本例患者具有典型的SMEC组织形态和免疫表型,SMEC诊断确立。腮腺硬化性黏液表皮样癌在诊断中应与慢性腮腺炎、鳞状细胞癌及高度恶性的黏液表皮样癌等相鉴别。 Do:10.3760/ema.j.i’ssn.1673-0860.2013.03.028