下载或打开 医联APP 查看完整评论
立即下载
打开APP
左踝扭伤后肿胀疼痛伴活动受限半年
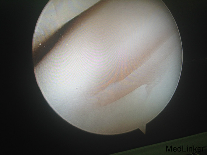
查体:左腓肠肌萎缩,左踝轻度肿胀。左踝关节ROM较对侧降低,以背伸活动受限最明显。距腓前韧带处未及明显压痛。左踝内、外侧关节间隙压痛(+)。ADT(-),外侧应力试验(-)。左下肢肌张力正常、感觉正常。 辅检:MRI示“左踝关节积液”




诊断:左踝关节创伤性滑膜炎 治疗:左踝关节镜下滑膜清理、胫骨前缘成形
随访:患者术后即刻踝关节活动度恢复正常,2周恢复正常行走。 讨论:踝关节扭伤很常见,扭伤后会发生各种各样的情况。此患者扭伤后继发了滑膜炎,并伤及了关节软骨。这种情况应进行关节镜手术治疗。此外,核磁共振对关节疾患的诊断也是有限的,关节镜才是黄金标准。