下载或打开 医联APP 查看完整评论
立即下载
打开APP
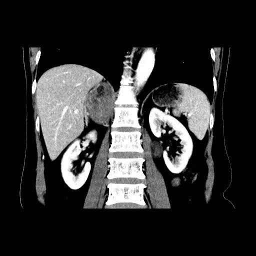
主诉:发现腹膜后肿瘤4年 病史:55岁女性。患者自诉4年前在单位例行体检中行腹部超声检查提示“腹膜后肿瘤”,当时肿瘤较小(具体不详),未给予特殊处理,今年9月查腹部CT示“右侧腹膜后肿瘤(大小约70x45mm),左侧腹膜后腰大肌旁肿瘤(长径约22mm)”,收住入院。
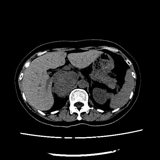
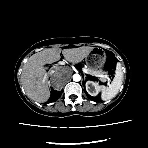
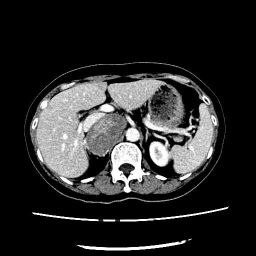
查体:血压:152/80mmHg。双肾区无红肿、隆起,双肾区叩击痛(-),双侧肋脊点、肋腰点压痛(-)。 辅查:CT平扫+增强扫描示:右侧膈下肾上腺区和左侧腰大肌病灶, 考虑为良性肿瘤,嗜铬细胞瘤可能性大,未除外其他





诊断:嗜铬细胞瘤? 治疗:入院后完善相关检查,于全麻下行后腹腔镜下双侧腹膜后肿瘤切除术,术程顺利,
随访:病理回报示:嗜铬细胞瘤。 讨论:该例嗜铬细胞瘤具有较典型的影像表现,我们能看到右侧肾上腺椭圆形肿块,边界清楚,直径较大,这可区别于肾上腺腺瘤,后者一般小于2cm。增强扫描肿块明显强化,并可见无强化低密度区,可能是肿瘤常坏死或陈旧性出血引起。而且该患者有嗜铬细胞瘤引起的继发性高血压,不过追问病史没有典型的阵发性高血压发作。


