下载或打开 医联APP 查看完整评论
立即下载
打开APP
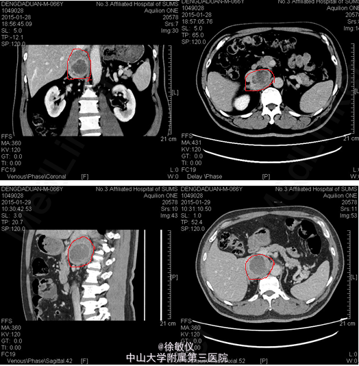
老年男性,发现血压升高40余年,平素规律服用降压药,血压控制差,血压仍可高达200/120mmHg,血压明显升高时有头晕、头痛,偶有恶心、呕吐胃内容物,间中出现双下肢浮肿。患者因血压升高不定期就诊于多家医院,予利尿降压等对症支持治疗,血压控制仍不理想,约170/120mmHg左右。1年余前再次因血压升高检查发现“肾上腺瘤”。现为进一步诊治来我院,双肾+肾上腺螺旋CT平扫+增强示:1、右侧腹膜后肿物,考虑来源于肾上腺内侧支,嗜铬细胞瘤可能性大。血浆皮质醇测定(化学发光法)(8AM):皮质醇617.08nmol/L。血浆皮质醇测定(化学发光法)(4PM):皮质醇272.37nmol/L。血浆皮质醇测定(化学发光法)(0AM):皮质醇104.54nmol/L。高血压三项:醛固酮218.74pg/ml,肾素浓度16.24pg/ml,血管紧张素II232.75pg/ml。
