打开应用

左侧肾上腺嗜铬细胞瘤

蔡医师   双流区第一人民医院
嗜铬细胞瘤

主诉 病史

患者女性,31岁。 主诉:体检彩超发现左上腹异常回声10天 现病史:入院前10天,患者当地医院体检时彩超发现左上腹异常不均质稍低回声区,患者无胸闷胸痛、头晕黑朦、腹痛、乏力等不适,血压未见明显升高,近期体重未明显增加,二便正常,未予特殊处理。6天前患者于当地医院行增强CT检查示:左肾上极与胰脾之间肿瘤,疑为左侧肾上腺嗜铬细胞瘤,患者仍无胸闷胸痛、头晕黑朦、腹痛、乏力等不适。患者于我院就诊,诊断为左侧肾上腺肿瘤。患者目前为求进一步诊治,今日入住我科。 既往史无特殊。

查体 辅查

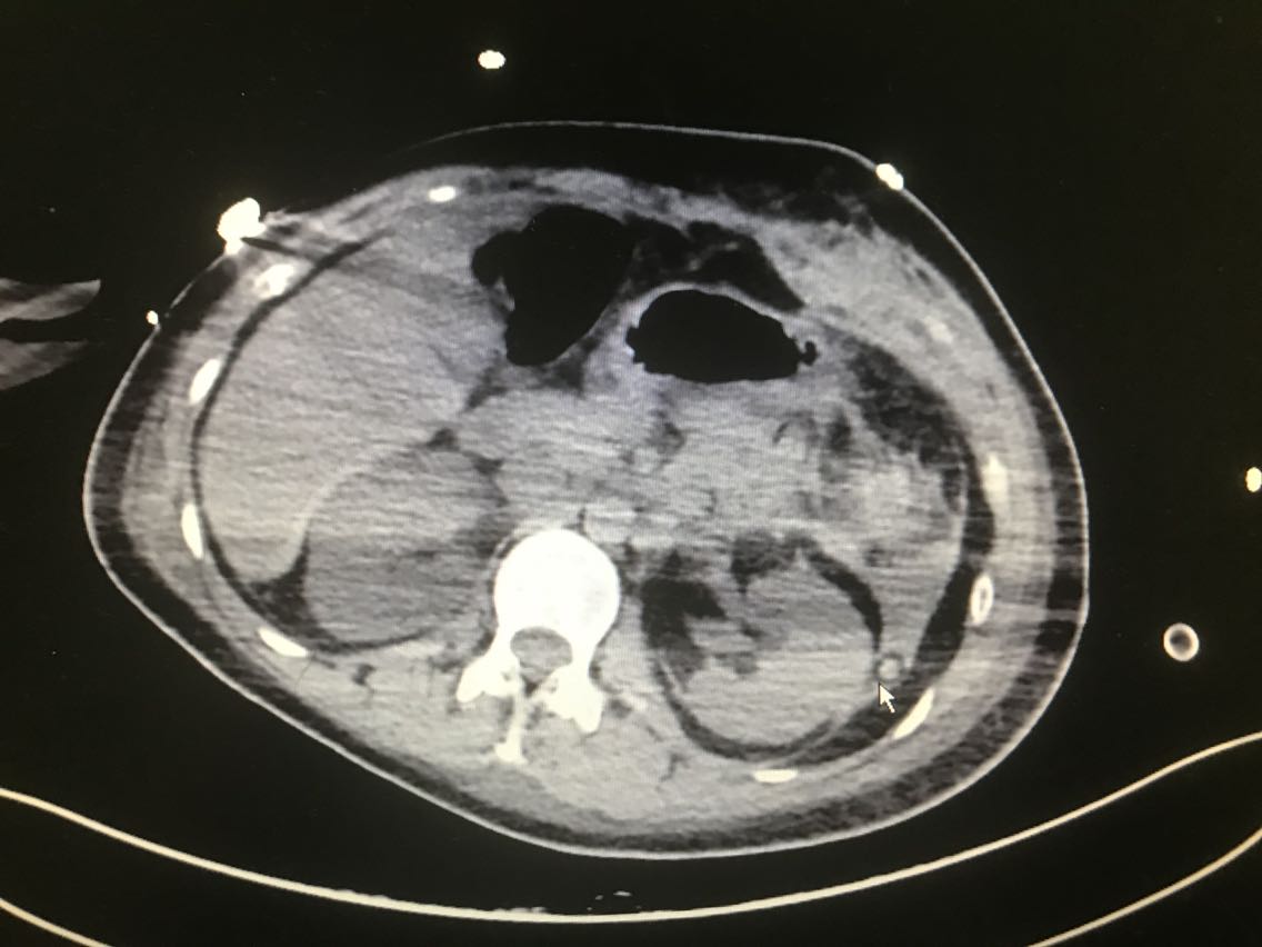
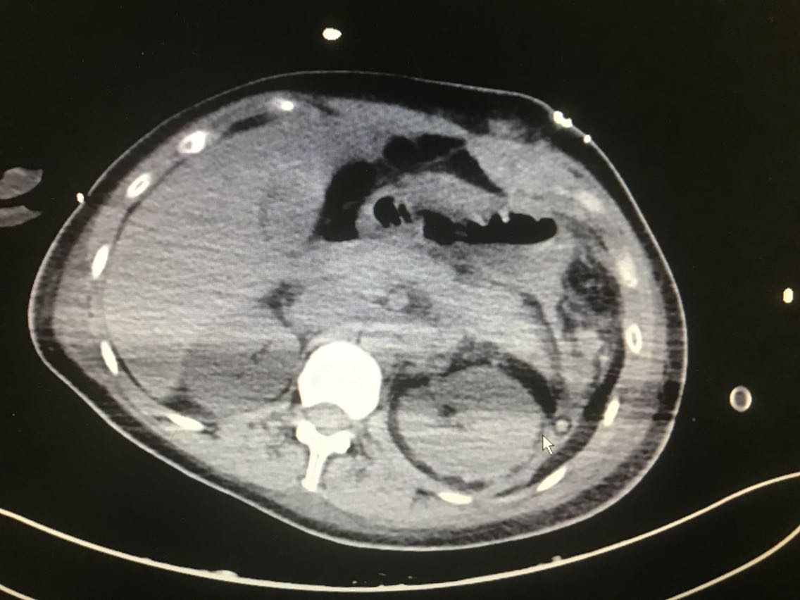
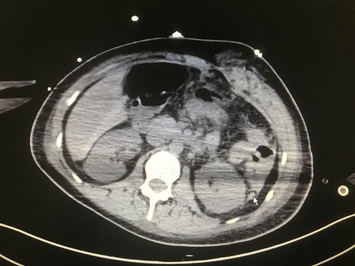
查体:无特殊。 辅助检查: 腹部彩超示:左上腹见大小约10.8*7.0*6.9cm异常不均质稍低回声区,其内见大小约0.5*0.5cm强回声点。 全腹增强CT示:左肾上极与胰脾之间肿瘤:左侧肾上腺嗜铬细胞瘤?。

诊断 处理

诊断:左侧肾上腺肿瘤。 治疗:腹腔镜左肾上腺肿瘤切除术+肠粘连松解术+左肾周粘连松解术 术中见:左肾上腺肿瘤约8x8x7cm肿瘤,肿瘤滋养血管增生紊乱,左肾上腺肿瘤与左肾上极及周围组织粘连,左肾周粘连。

随访 讨论

患者术后出现血浆引流管引流血性液体量大,给予急查腹部CT后提示腹腔出血。遂急诊行剖腹探查,寻找到出血点止血。术后恢复可。

发布于 18-08-04 19:50

0 个评论

暂无评论
发送