下载或打开 医联APP 查看完整评论
立即下载
打开APP
1.老年男性患者,病程长。 2.患者于2002年5月因膀胱肿瘤在本院行手术治疗,肿物位于右侧壁,术后病理为移行细胞癌;后于2002年12月复发行膀胱肿瘤切除术,术中见肿瘤位于膀胱底部及顶部交界处,术后病理为移行上皮细胞癌;2004年肿瘤复发行肿瘤电切术,术中见肿瘤位于左输尿管开口;2012年10月膀胱肿瘤再次复发,行右斜疝修补、肿瘤电切及前列腺电切手术,术后病理为膀胱高级别尿路上皮癌,送检前列腺见良性前列腺增生、局部组织呈重度不典型增生及原位癌改变,术后恢复可,患者排尿顺畅,无尿频、尿急、尿痛,无肉眼血尿。3天前出眼肉眼全程血尿,在当地医院诊治CT示“膀胱肿物”,为进一步治疗收住本院。起病来精神、食欲可,无黑便。
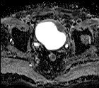
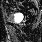
神清,右腹股沟有一手术疤痕约4CM,腹平软,无压痛、反跳痛。双输尿管行程无压痛,双肾区无叩痛。 肝胆胰脾,双肾输尿管膀胱(前列腺)(超声诊断报告书) :膀胱壁毛糙,其内病变,性质待定,建议进一步检查。肝脏、胆囊、胆管、胰腺、脾脏超声检查未见异常。双肾、双输尿管、前列腺超声检查未见异常。 盆腔 平扫+增强:1.膀胱部分切除术后改变,膀胱左前侧壁肿块,结合临床,考虑膀胱癌术后复发;左侧髂血管旁淋巴结肿大。 2.前列腺小囊肿;前列腺中央带大部分缺如,请结合临床。


膀胱癌 膀胱部分切除术
病理:1(膀胱内肿瘤)送检直径0.5cm组织1粒,全埋制片。2(膀胱内肿瘤)送检直径0.3cm组织1粒,全埋制片。3(肿瘤大体标本)送检5X4.5X2.5cm组织一块,粘膜面粗糙,切面灰白色质硬,未见明显肿物。1-3,镜下:膀胱高级别浸润性尿路上皮癌,浸润膀胱壁全层,脉管内见癌栓。定 期行膀胱灌注化疗,定期复查膀胱镜