主诉:患者,73岁,老年男性,因”上中腹部疼痛1年余,加重10天”入院。 病史:患者于1年前无明显诱因出现上中腹部疼痛,当时程度尚轻,呈慢性隐痛,无向他处放射,可忍受,未予特殊重视,近10天患者上中腹部疼痛较前加重,呈阵发性胀痛,严重剧烈疼痛不可忍受,伴时有恶心、呕吐,呕吐胃内容物,量少,伴食欲减退,伴全身皮肤轻度黄染,无呕血、便血、黑褐便,无反酸、嗳气、呃逆,无畏寒、发热,无心前区不适,遂至当地县人民医院就诊,查上腹部MRI示:肝左叶巨块型肝细胞癌,大小约30*13cm,肝尾叶小结节,考虑肝内转移或子灶形成,胸、腹腔少量积液;AFP:>20000ng/mL。遂来我科就诊。既往有无乙肝尚不明确,既往有阑尾切除手术史一次及胃部切除手术史2次(20余年前,具体是何病患者已记不详)。
查体:全身皮肤、巩膜轻度黄染,全身浅表淋巴结未触及肿大,心肺听诊未闻及明显异常,腹部凹陷,腹部可见三条纵行陈旧性瘢痕,分别长约9cm、5cm、4cm,愈合良好,于上腹部可触及一肿块,大小约28*10cm,于剑突下11cm可触及,于右侧肝肋缘中点下4cm处可触及,压痛(+),叩击痛(+),质地硬,边缘不规整,表面凹凸不平,余腹部未触及包块,胆囊未触及,未及液波震颤及振水音,肝浊音界增大,移动性浊音(-),双下肢无水肿。 辅查:外院上腹部MRI示:肝左叶巨块型肝细胞癌,大小约30*13cm,肝尾叶小结节,考虑肝内转移或子灶形成,胸、腹腔少量积液;AFP:>20000ng/mL。 本院入院后检查三大常规、电解质、肾功能、凝血功能等生化无明显异常,乙肝两对半五项全为阴性(-),肝功能示:ALT:150.8U/L,白蛋白:29.7g/L,余指标无明显异常;心肌酶谱:CK-MB:37U/L,肿瘤标志物:AFP:66886ng/mL,CA125:235.8U/mL,CA724:14.81U/mL。

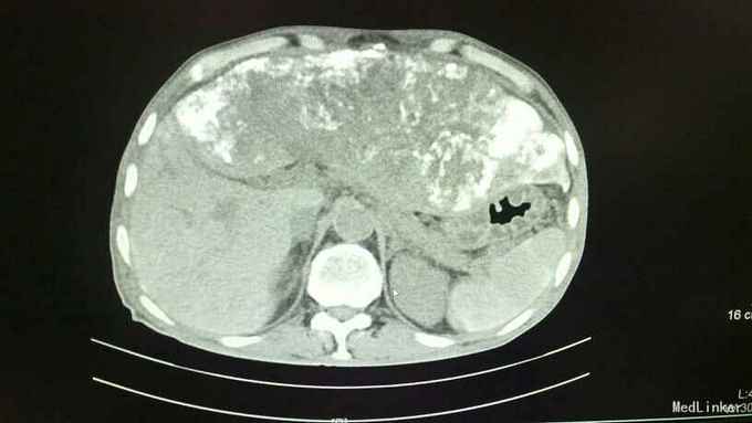
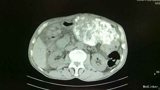
诊断:1、原发性肝细胞癌(巨块型) 2、肝内转移并子灶形成 3、低蛋白血症 4、胸、腹腔积液(少量) 治疗:入院后完善相关常规、生化检查如上述,综合评估病情后考虑患者巨块型肝癌大小约达30*13cm,存在肝癌肿块破裂大出血风险可能性极大,遂立即向其家属告病重。治疗上予护肝、补充白蛋白、护心、补液等对症支持治疗,3日后送手术室行”肝癌血管介入化疗栓塞术(TACE术)“,术中先选取肝动脉,予”氟脲苷+卡铂+平阳霉素+丝裂霉素“向血管行灌注化疗,再予碘化油向血管内灌注以栓塞血管阻断肿瘤血供,再选取肠系膜上动脉,再予上述化疗药物向血管内行灌注化疗。术后患者出现上腹部疼痛、腹胀,食欲严重下降,发热,呈中高热,呕吐数次。均考虑患者介入术后常见不良反应及肝脏及肿块栓塞后液化坏死所致。术后常规予抗感染、护肝、护胃、护心、止呕、补蛋白、适当利尿、维持电解质平衡、加强护理、记24小时尿量等对症支持治疗。病情好转并稳定后复查上腹部CT较入院时缩小,具体见下图所示,提示治疗有效。



随访:随访一月,患者肝左叶巨块型肝癌较前缩小。查体触诊上中腹部可及一肿块大小约24*8cm,于剑突下8cm可触及,于右侧肝肋缘中点下2cm处可触及,质地硬,边缘不规整,表面凹凸不平。 讨论:TACE术:是指将导管选择性或超选择性插入到肿瘤供血靶动脉后,以适当的速度注入适量的栓塞剂,使靶动脉闭塞,引起肿瘤组织的缺血坏死。使用抗癌药物或药物微球进行栓塞可起到化疗性栓塞的作用,称之为TACE。目前最多用于肝癌的治疗,包括: 肝动脉插管化疗栓塞,或肝动脉插管化疗灌注。我们都知道:肿瘤的生长有赖于肿瘤新生血管的形成,当肿瘤生长至一定体积(1~2mm)时,由于缺氧和局部组织PH值的下降,肿瘤便会分泌促血管生成因子,加速肿瘤新生血管的形成,以提供肿瘤生长所需要的氧和营养成分。TACE作为临床治疗肝细胞癌的重要方法,主要通过栓塞肿瘤的供血动脉,阻断肿瘤的血供,导致肿瘤缺血、缺氧,达到抑制肿瘤生长、促使肿瘤细胞坏死、凋亡的目的。适用于原发性或转移性肝癌、肝癌术后复发(肝功能Child分级为A、B-级)、肝血管瘤、肾癌、盆腔肿瘤等的治疗以及鼻咽癌、肺癌、消化道、盆腔肿瘤大出血时的栓塞止血等。 特别是在此例中:患者为73岁高龄的老年患者,又是如此巨块型肝癌,大小约达30*13cm,已经不具备手术指征,因为手术风险性极大,极大可能会因为在术中各种原因导致肝癌破裂而大出血不止却无法抢救,甚至根本抢救不过来!或其他原因记其他不利因素,使得患者及其家属选择保守治疗的。而此时,TACE术就特别适用于这一类患者,既可以收到一定的疗效也可以缓解病情进展,延缓生命,改善生活质量。并且TACE术还可以按照这个原理扩展到其他的肿瘤类型,比如肺癌,直肠癌,妇科恶性肿瘤,胃癌等等,均可以尝试行动脉灌注化疗,亦可以称之为局部化疗。比起全身静脉化疗,此法可以使病灶(肿瘤)更局限更集中吸收化疗药,再辅以差价量化疗会取得不错的效果。