下载或打开 医联APP 查看完整评论
立即下载
打开APP
主诉:头晕7年,反复发作头痛十余日 病史:患者为中年女性,慢性起病。患者7年前无明显诱因开始出现持续性头晕,伴视物旋转感,至外院查血压升高,最高150/902mmHg,诊断为“高血压”,开始服“尼群地平”治疗,服用1年后,血压下降不明显十余日前患者无明显诱因下出现阵发性头颈部疼痛,呈牵扯样,有波动感,多在下午发作为著,伴心悸、出汗,遂至阳春市人民医院就诊,查腹部彩超:腹膜后实性占位病变,相当于右侧身上腺区混合回声团块(性质待定):肾上腺肿瘤?现为进一步诊治,门诊拟“高血压查因”收入。
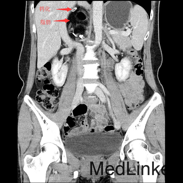
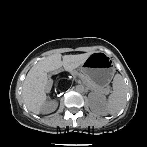
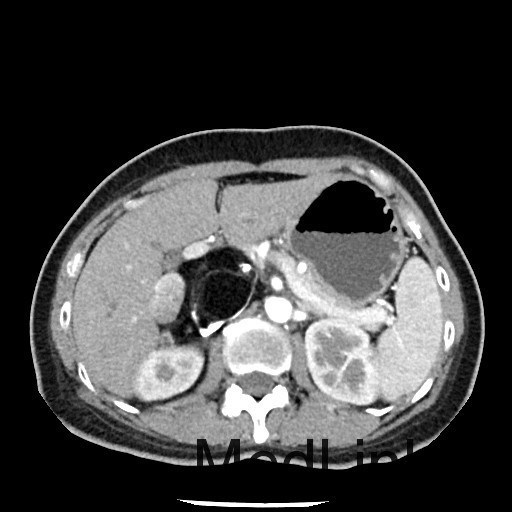
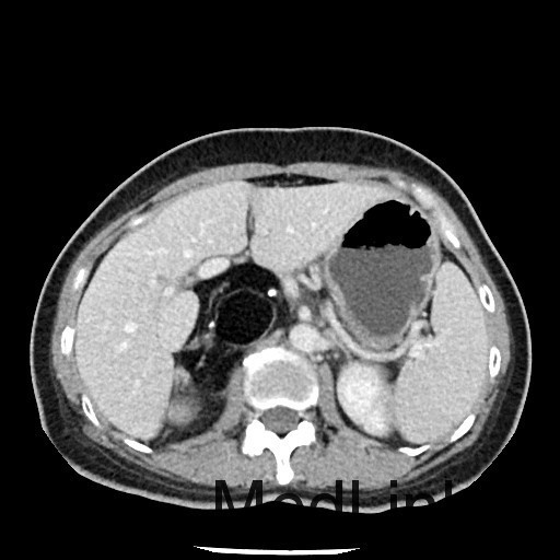
查体:神清,一般情况好,无水牛背、满月脸,皮肤无紫纹。 辅查:全腹CT平扫+增强提示右侧腹膜后区占位性病变,畸胎瘤可能性大。





诊断:畸胎瘤 治疗:入院后完善术前相关检查,查无手术禁忌后于全麻下行经腹腔镜腹膜后肿物切除术,术程顺利,术后无特殊,术后病理示:符合成熟性囊性畸胎瘤。


讨论:本例畸胎瘤因发生在肾上腺区,因此表现为发作性高血压。一般只要在CT图像上看到钙化、脂肪密度等特征性征象,增强扫描实性成分轻度强化,畸胎瘤的诊断一般不难。不过非成熟性的畸胎瘤一般缺少钙化和脂肪成分,此时要与腹膜后其他来源的实性肿瘤相鉴别。本例病理大体能够看到毛发,也是畸胎瘤比较特征性的病理表现。