71岁老年男性,主诉气促、咳嗽、劳力性呼吸困难,不伴发热。既往有吸烟史、扁桃体切除术史和尿潴留。家族中有兄弟姐妹诊断为韦格纳肉芽肿,父母其中一人有肺癌。
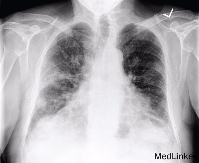
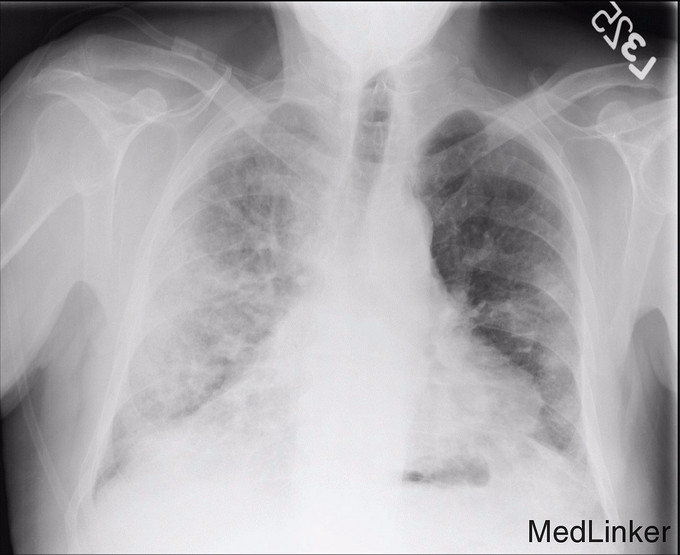
入院前5-6周胸部X线示双侧肺片団影(图1),怀疑为社区获得性肺炎,给予阿奇霉素和莫西沙星,症状无明显改善。入院后体检发现患者有中度呼吸窘迫,血压171/88 mmHg,血氧饱和度86%。查体:患者有双侧哮鸣音及啰音,余未查见特殊。白细胞计数正常,胸部X线提示右下肺和左肺中央显著地恶化(图2)。胸部CT提示弥漫性肺病变,右侧少量胸腔积液,胸内,颈下淋巴结肿大(图3)。



患者的呼吸状况持续下降,最后需要机械通气。给予万古霉素和头孢吡肟抗生素,和甲泼尼龙(考虑到可能的急性间质性肺炎或韦格纳氏症家族史)。广泛的检查搜集疾病确诊证据。支气管镜和支气管肺泡灌洗均提示弥漫性肺泡出血。细胞学检查为提示恶性,呼吸道病毒培养为阴性,卡氏肺囊虫 抗原阴性,多种细菌和真菌血培养阴性。鼻咽拭子流感病毒阴性,血清百日咳杆菌学以及尿军团菌抗原阴性。抗中性粒胞浆抗体和抗核抗体也阴性。治疗后,患者无好转,开始出现高热(39.5℃),考虑为吸入性肺炎而给予甲硝唑。患者还出现双侧下肢深静脉血栓形成,持续发热并血小板减少(血小板计数:53K/μL)和肾功能下降(肌酐:3.9mg /dL),组织胞浆菌尿抗原阳性,诊断为急性肺组织胞浆菌病,随后给予两性霉素B,最终接受了紧急血栓切除术和筋膜切开术并给予组织纤溶酶原激活物。
随访:随访期间,患者超声心动图没有发现瓣膜赘生物的证据。病人需要血液透析,高通气支持和输血(血红蛋白:5.0g/dL)。患者的右腿变灰暗,腹部肿胀。患者的临床状况继续恶化,最后死亡。 讨论:组织胞浆菌病是由真菌引起的荚膜组织胞浆菌病具有不同的临床表现和严重程度疾病。弥漫性肺泡出血是一种以肺泡毛细血管基底膜广泛破坏,终末细支气管以远的肺腺泡内广泛出血,充满了含铁血黄素的巨噬细胞在间质内堆积为特征的临床综合征,主要表现为呼吸困难、咯血、缺铁性贫血、胸部弥漫性肺泡浸润或实变。DAH病因多,原发病也多,并且表现各异,起病急缓不一,发病机制不尽相同,其中以自身免疫性疾病居多,如本例患者是由于肺组织胞浆菌病所致。组织胞浆菌病首选两性霉素,但是本例患者老年男性,后期又有肾功凝血功能损害,病情复杂,从而患者最终死亡。 [引自doi: 10.1155/2015/821749]