下载或打开 医联APP 查看完整评论
立即下载
打开APP
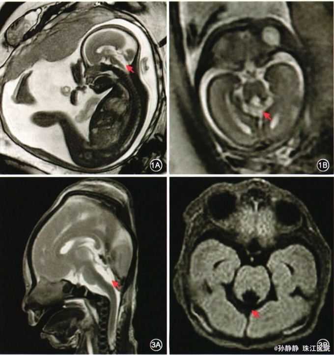
孕妇26岁,孕28周。孕25周超声发现胎儿小脑缺失可能。
孕27周MRI提示患儿小脑基本缺失,枕叶及小脑幕下移。

诊断:胎儿小脑缺失 处理:考虑预后不良,家属要求终止妊娠。引产后取胎儿脐血行微阵列比较基因组杂交技术基因分析未见染色体拷贝数增加或减少。


讨论:小脑缺失多与染色体缺失有关,本类患儿生后存活率低,约1h-76岁。孕期B超是孕期发现本病的首选检查,但MRI不受孕妇体位等影响,效果更佳。