66岁女性,因左乳房下面胸痛伴劳力性呼吸困难3天入院,自己认为有体重减轻,无发热、咳嗽及胃肠道症状,既往史有高血压,II型糖尿病,冠心病,有20包/年的吸烟史。
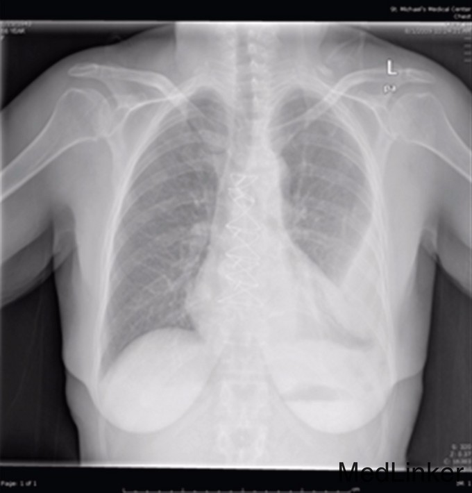
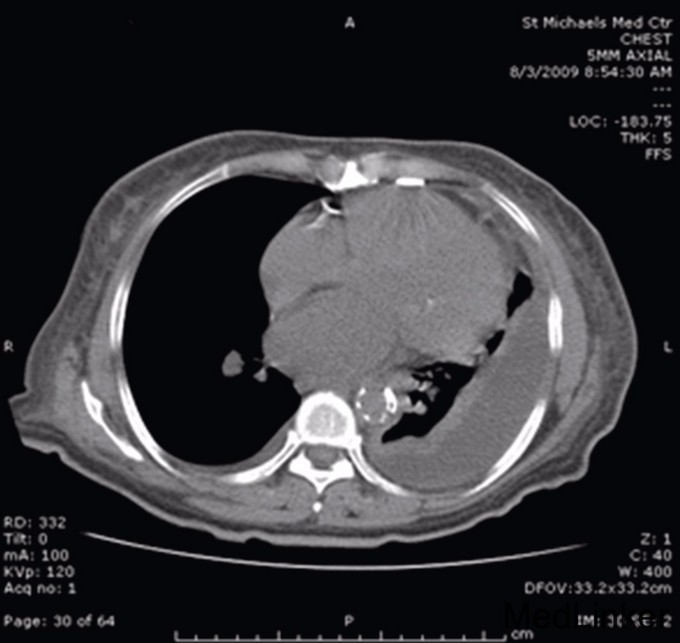
查体:左肺底部闻及浊音,呼吸音降低,未闻及干湿啰音。下肢有水肿, 无杵状指,未查见特殊。血常规提示血象高,白细胞11800/mm3,中性粒细胞占84%,淋巴细胞占9%。胸部X线显示左胸下三分之二混浊(图1),胸部CT提示左侧胸部大面积包裹性积液(图2),胸水生化常规提示乳酸脱氢酶292U/L,总蛋白4.0 g/dL,白细胞1033/mm3,革兰染色球杆菌阳性。根据light标准判断胸水为渗出液。


给予万古霉素和头孢吡肟广谱抗感染,并胸部置管引流积脓。第二天胸部脓液培养出沙门氏菌D组,停用万古霉素,血培养5天为阴性,患者入院后5天由于局部胸腔积液行胸膜剥脱术。诊断为:非伤寒沙门氏菌脓胸
随访:术后4天患者症状完全缓解,出院继续口服环丙沙星。 讨论:沙门氏菌常引起肠道感染性疾病,如伤寒副伤寒等,很少引起胸膜感染。并且是在肺部无原发灶感染的情况下引起胸腔积脓更加罕见。因此分享此病例供学习,不同于其他非伤寒沙门氏菌感染的肠道外表现,本例患者急性起病,症状为胸痛和呼吸困难,虽已形成脓胸,但是无发热,血培养也是阴性,只是通过胸水培养进一步明确诊断。在本例,我认为是患者有多种自身基础疾病并且是老年女性,为非伤寒沙门氏菌感染的易感人群,有脓胸抽取胸水培养不难诊断。通过已有文献报道得知,非伤寒沙门氏菌脓胸常出现有免疫抑制或者有肺部基础疾病的患者。非伤寒沙门氏菌主要由食物如鸡蛋、奶制品传播,长期抗生素治疗是首选的治疗,常常选用第三代头孢菌素或氟喹诺酮类,推荐疗程为2-4周,复发性感染可能用至12周,置管引流脓胸或者行胸膜剥脱术可以作为辅助疗法。