下载或打开 医联APP 查看完整评论
立即下载
打开APP
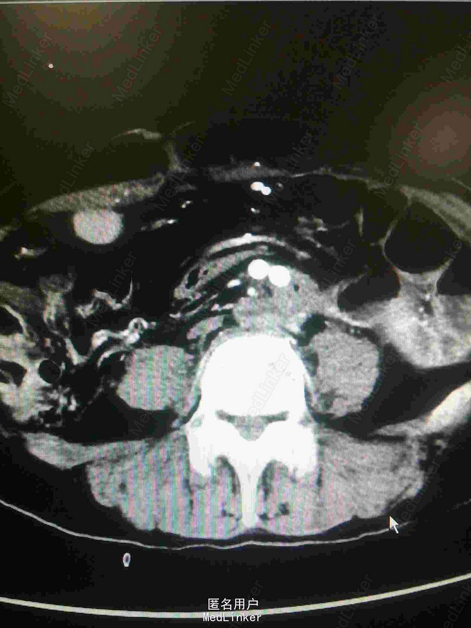
主诉:腰腹痛7月,加重一周。 病史:七月前发热后开始出现腰腹痛,呈持续性撕裂样痛,伴腹胀,症状反复。一周前腹痛症状加重。
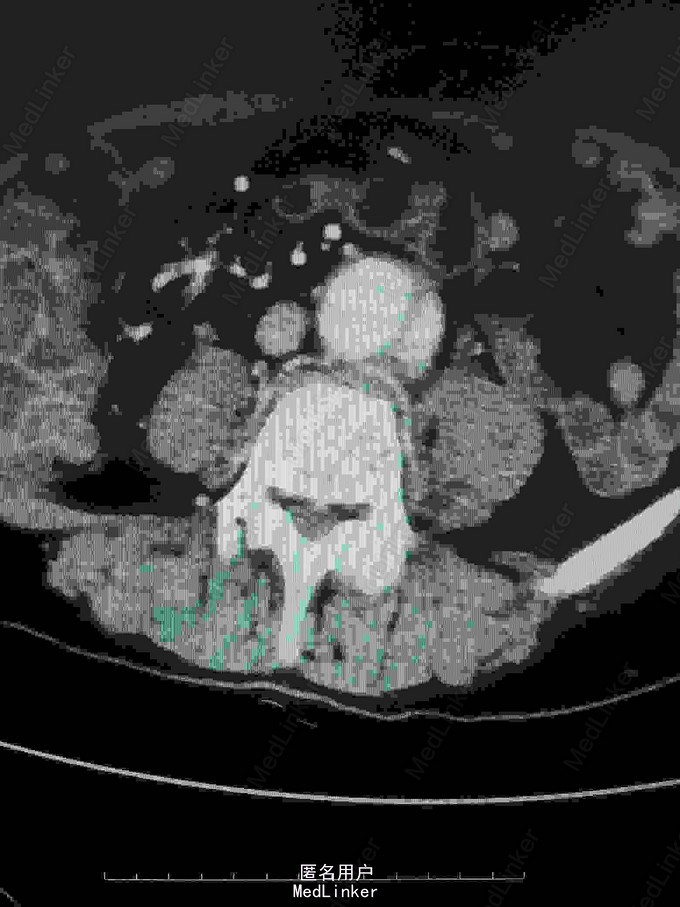
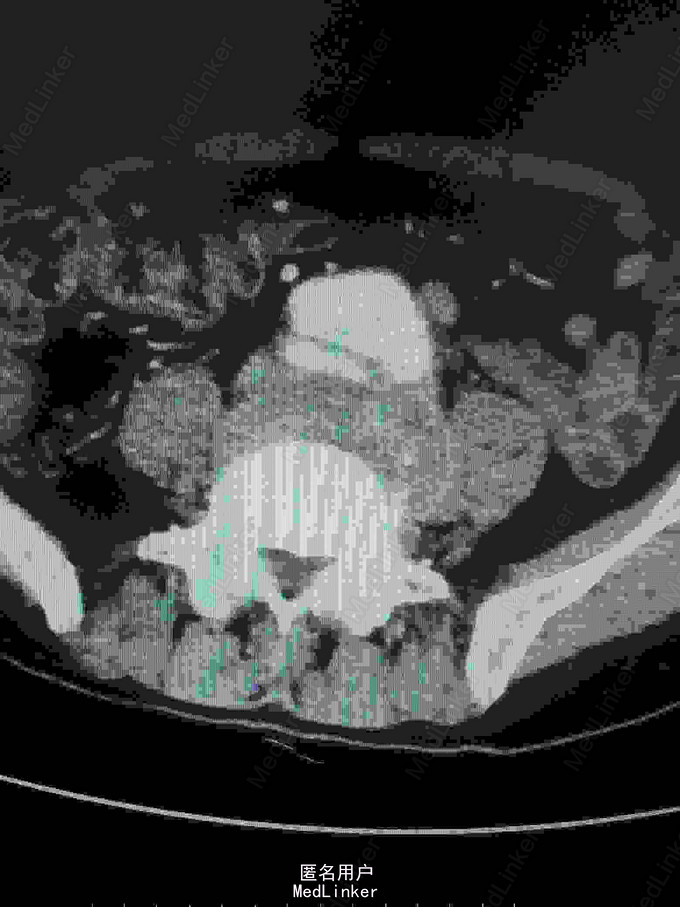
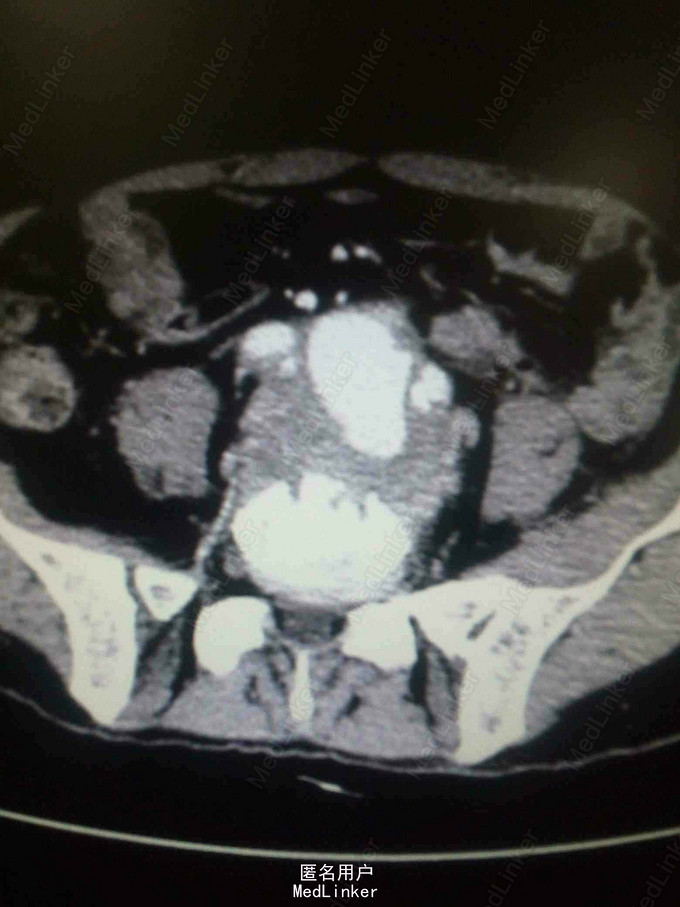
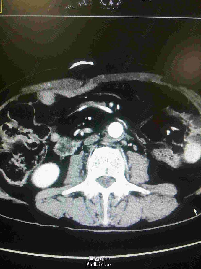
体查:下腹部可触及搏动性包块。 辅助检查:腹部CT:腹主动脉假性动脉瘤并血栓形成,腰5椎体受侵蚀。血培养:沙门氏菌。







诊断:沙门氏菌感染性腹主动脉假性动脉瘤 处理:急诊行腹主动脉瘤切除人工血管置换术,术后予美罗培南抗感染8周,续以左氧氟沙星口服。



讨论:感染性腹主动脉假性动脉瘤较少见,致病菌以沙门氏菌最为常见。常见的手术方式为原位重建,旁路重建及支架植入,其中支架植入尚存较大争议。术后感染复发及死亡率仍较高,均需长时间抗感染治疗。