下载或打开 医联APP 查看完整评论
立即下载
打开APP
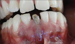
患者下前牙牙龈处溢脓,无疼痛感。患者幼时下前牙受过外伤,未治疗。
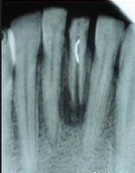
检查可见41牙大面积缺损,牙体变色,髓腔暴露,唇侧可见瘘道口。 X线片发现41牙根尖孔未完全形成,根尖周可见大面积低密度影,根中份可见有一高密度线性影像。仔细询问后发现患者有疼痛时往根管内放置尖锐物体的习惯。


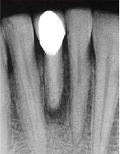
诊断为41牙慢性根尖周脓肿。首先取出41牙根管内尖锐物体,其次完善根管治疗,进行根尖手术,控制根尖周炎症。





病例中患者幼时受到外伤后未及时诊治,而且在疼痛时往根管内放置尖锐物体,进而导致严重的根尖周炎症。由于根管内的异物能够通过疏通取出,故而未利用超声系统。患牙根尖孔尚未愈合,根管粗大,整个治疗过程中要尽量保存剩余牙体组织,修复时也选择与牙本质弹性模量相近的纤维桩进行修复。
