下载或打开 医联APP 查看完整评论
立即下载
打开APP
以“间断性左鼻腔出血5月,加重1月”为主诉入院。5月前劳累后出现左鼻腔出血,量中等,可自止,无明显鼻塞、流涕、鼻腔异味,自行口服药物后异味消失(具体药物不详),未正规治疗,1月来左侧鼻腔间断性出血,约3-5天1次,量少,偶浓涕、头晕,无明显鼻痒、喷嚏症状。




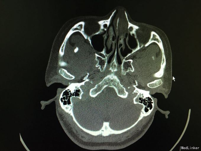
查体:双侧鼻腔黏膜充血,左侧总鼻道可见肿物,表面糜烂,质硬,触之易出血,左侧中鼻道窥不及,右侧鼻腔各鼻道未见明显新生物,无活动性出血,鼻中隔偏曲。 增强CT显示肿物内强化明显。


诊断:1.鼻腔血管瘤(左) 2.鼻出血(左) 3.结构性鼻炎 介入手术后3天行低温等离子左鼻腔肿瘤切除术


术后鼻腔通气可,术区无感染、无粘连,创面愈合可。