患者女性,64岁。主诉:左侧偏身及颈项部麻木、左上肢乏力20天。 现病史:缘患者于20天前晨起后出现左手手指麻木,当时无肢体乏力、无头痛头晕等症状,未予重视,后麻木症状逐渐向上进展,出现整个左上肢、后颈部麻木,伴左上肢少许乏力,左侧胸胁部、左下肢大腿整圈麻木感,小腿以下无麻木,无下肢乏力,无言语不清,无头痛头痛,休息不能缓解,遂于我院门诊就诊,查头颅CT:右侧顶叶、左侧岛叶少许腔隙性梗塞,侧脑室旁脑白质变性,脑萎缩。门诊考虑为急性脑梗死,予活血及抗聚、稳斑处理无明显好转,遂收入院。 入院症见:神清,精神可,左侧偏身麻木(左上肢、左后颈、左侧躯干、左下肢膝关节以上),左上肢少许乏力,持物略乏力,余正常。 既往史:高血压病史,规律服用厄贝沙坦降压,血压控制可。类风关病史多年,长期服用甲氨蝶呤、白芍总苷胶囊、扶他林、弥可保等药物。3年前曾行左膝关节置换术。余无特殊。




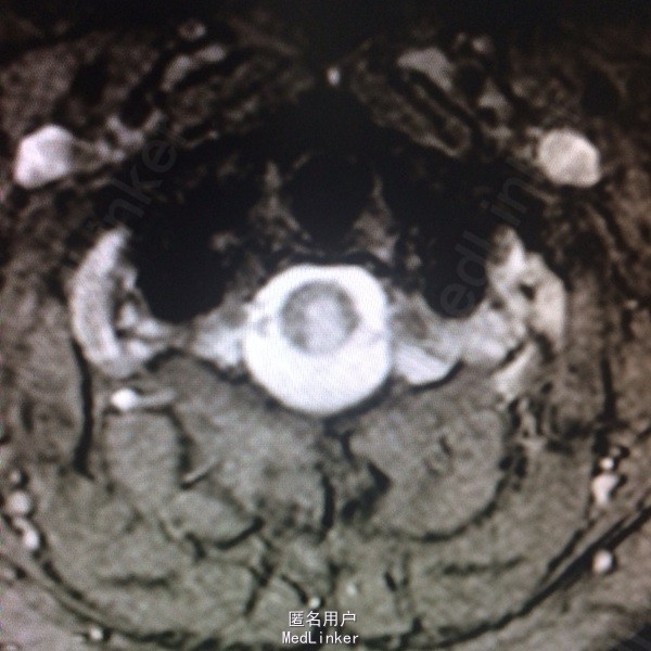
查体:左侧上肢、左侧颈项部、左侧躯干浅感觉减退,左上肢有力5-级,左侧肢体腱反射(+),余(-)。 辅助检查:头颅CT:右侧顶叶、左侧岛叶少许腔隙性梗塞,侧脑室旁脑白质变性,脑萎缩。 入院后查风湿三项:RF:74IU/ml,肌酣:92umol/L。尿酸:362umol/L,胆固醇:6.44mmol/L。糖耐量试验正常。输血四项正常。血沉、自免八项、血管炎3项、血找狼疮细胞均正常。心脏彩超正常。椎动脉彩超、颈动脉彩超正常。肌电图:左侧正中神经腕部节段性损害(感觉纤维受累,脱髓鞘改变),符合左侧腕管综合征电生理改变;左侧正中神经、左侧尺神经F波异常,提示近端神经根(C8-T1)受累,请结合临床。头颅MR:双侧额叶皮层下多发小缺血变性灶,未见急性梗死;右侧椎动脉颅内段较左侧明显细小,颅脑MRA未见异常;右侧桥小脑角增宽,未除蛛网膜囊肿。颈椎MR:颈椎轻度后弓,退行性变:C2/3、C3/4、C4/5、C5/6椎间盘突出(后正中型);C6/7椎间盘膨出,C1椎体水平脊髓内异常信号影,建议增强扫描。增强扫描示:C1水平脊髓内异常信号,脊髓炎与多发性硬化相鉴别。
诊断:急性脊髓炎。 治疗经过:入院后予B1、甲钴胺营养神经,患者症状稍有好转,在完善颈椎MR后考虑急性脊髓炎,予激素冲击治疗。
随访:经治疗后患者仅遗留左上肢少许麻木出院。 讨论:急性脊髓炎是各种自身免疫反应所致的急性横贯性脊髓炎性改变,多为感染诱发,该患者曾数次追诉病史,皆诉发病前1月无明显感染症状,且无打疫苗等病史。从影像学及治疗后患者的转归情况来看,还是支持急性脊髓炎的诊断。患者有类风关的病史,长期服用免疫抑制剂,可能是导致发病的主要原因。但患者以偏侧肢体麻木起病,呈进行性加重,致住院时病程长达20天,在此过程中始终未出现另一侧肢体及躯体的神经功能障碍,在急性脊髓炎的患者确实不常见。