下载或打开 医联APP 查看完整评论
立即下载
打开APP
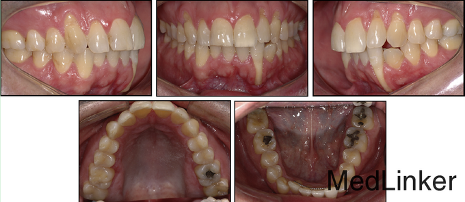
36岁,男性,主诉下颌左侧侧切牙唇侧牙龈退缩明显,伴有疼、刺激痛症状。 骨性牙性II类已经在几年前于外院矫治完成,,上颌佩戴可摘保持器,下颌3-3舌侧丝粘接保持

舌侧丝保持器在右侧侧切牙与尖牙间被破坏,右侧中切牙与侧切牙舌向移动,而左侧尖牙唇向移动。下颌运动过程中,左下2承受了切导的全部负荷。左下2活力测试显示无活力。CT矢状向显示32牙完全位于骨皮质外,32牙根尖1/3横断面显示牙根周围无骨质包绕


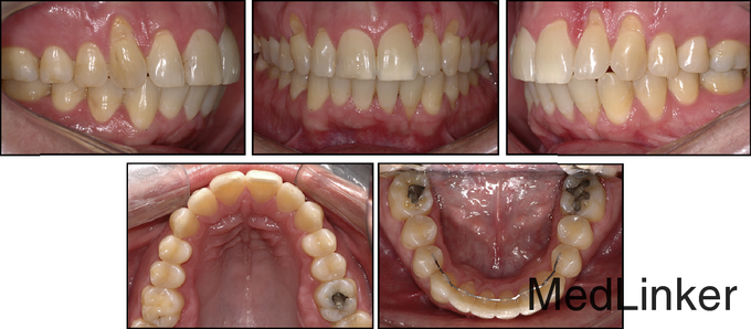
治疗计划:左下2行根管治疗,同时通过正畸重新定位。 治疗:32牙行根管治疗,下颌21*25不锈钢弓丝无力被动入槽稳定下牙弓(避开32牙,不结扎32牙),同时弯制带有根舌向转矩的19*25的TMA弓丝,前段只结扎到32牙,双侧后段插入第一恒磨牙颊管中,每个月加大转矩,持续5个月,在第五个月的时候,可见到32牙根尖已有软组织覆盖。此时上颌上矫治器,排齐整平。总疗程14个月。术后牙周探诊32牙唇侧牙周袋只有1mm。刺激痛症状消失。下颌4-4由16*22不锈钢弯制的舌侧丝保持。1年后复诊,效果仍然稳定。




1年后复诊,效果仍然稳定。 下前牙拥挤矫治后很容易复发,舌侧丝保持是比较推荐的方法,但也可能出现上述问题,非常值得引起我们的重视。有学者建议舌侧丝不要选择有弹性的弓丝,最好选用不锈钢弓丝,这样即使某些部位脱落,不会产生主动的力量致使牙齿移位。
