患者 男, 24岁, 未婚。 因发现右侧睾丸肿大, 坠胀不适15d, 经抗炎治疗无效, 于 2008年 8月 7日入院。 入院前 15d无明显诱因出现右侧睾丸肿大, 增长迅速, 右侧阴囊坠胀不适, 伴有右腹股沟区疼痛。曾于 20年前行双下肢矫形术。
体检: 右睾丸肿大质硬, 附睾、 精索、 输精管正常。实验室检查: 血甲胎蛋白 (琢-f et opr ot ei n, AFP) 1053. 00滋g/ L, 人绒毛膜促性腺激素 (humanchor i oni cgonadot r opi n, HCG)329I U/ L。 阴囊 B 超示右侧睾丸明显增大,回声混杂,提示右睾丸肿瘤。CT 示右睾丸占位, 腹主动脉旁多发小结节。
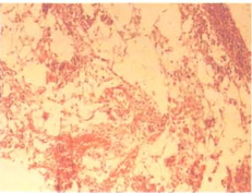
诊断: 右睾丸肿瘤。治疗: 在全麻下行右睾丸切除术及腹主动脉旁淋巴结清扫术。病理学检查: (1 ) 巨检睾丸大小 7cm 伊 6cm 伊 3cm, 切面灰白色鱼肉样, 散在紫褐色出血区及黏液变区。 (2 ) 镜检发现睾丸组织结构破坏, 瘤组织成分复杂, 图像多样, 以卵黄囊瘤和精原细胞瘤成分为多, 同时混有胚胎癌、 成熟或不成熟的畸胎瘤成分。 肿瘤大部分区域为疏松蜘蛛网状、 微囊结构,并含黏液样基质 (图 1 ) , 肿瘤细胞较小、 一致, 核深染, 胞浆透明, 可见肾小球样的 S-D 小体 (图 2) , 提示为卵黄囊瘤区域; 部分区域细胞丰富, 瘤细胞圆形或椭圆形, 核染色质丝状、 颗粒状, 核仁小, 胞浆透明空泡状或嗜酸粉染, 少量细胞核异型明显, 核分裂象易见, 提示为精原细胞瘤区域; 部分区域核大、 卵圆形、 空泡状, 核仁明显强嗜酸性, 胞膜界限不清,构成腺管样或实性团块状结构, 提示为胚胎癌区域; 并可见少量散在的异型明显的合体滋养叶细胞, 不成熟的神经管结构以及成熟的鳞状上皮、 黏液柱状上皮和平滑肌成分, 提示为畸胎瘤区域。 (3 ) 免疫组化染色示: AFP 弥漫强阳性, 胎盘碱性磷酸酶 (pl acent alal kal i nephos phat ase, PLAP) 、 白细胞分化抗原 (CD) 117、 CD30、 细胞角蛋白 (cel lker at i n, CK) 均为灶性阳性。 病理诊断: (右睾丸) 恶性混合性生殖细胞肿瘤。 术后AFP45. 65滋g/ L, HCG约1I U/ L, 降至正常。 随访 9个月, 未见复发和转移。

睾丸混合性生殖细胞肿瘤(贼藻泽贼蚤泽 皂蚤曾藻凿 早藻则皂 糟藻造造 贼怎皂燥则,栽酝郧悦栽) 约占生殖细胞肿瘤的 60%[ 1] , 像本例合并成分之多则罕见。TMGCT 与单一生殖细胞肿瘤均起源于一个不能分类的曲细精管内生殖细胞肿瘤 (蚤灶贼r at -ubul arger m cel lneopl as i a oft heuncl as s i f i edt ype, I GCNU) , 又称睾丸生殖细胞肿瘤前体 [ 2] 。I GCNU 的遗传学改变是 12号染色体短臂出现等臂染色体[ i ( 12p) ] 或其他细胞遗传学改变, 有的还有 11号染色体短臂的丢失 [ 3] 。单纯的精原细胞瘤可分化出非精原细胞的成分, 有报道认为混合性生殖细胞瘤的发生为精原细胞瘤沿着非精原细胞性生殖细胞肿瘤的方向局限性分化所致 [ 4] 。TMGCT 患者血 AFP 和 HCG 升高者分别占 60% 和55% , 病理应注意各种肿瘤类型之间的诊断与鉴别诊断。 (员)精原细胞瘤: 常呈弥漫片状排列, 瘤细胞透明或轻度嗜酸, 界限清楚, 核圆形或卵圆形, 染色质细腻颗粒状, 有一个或两个明显的核仁。该肿瘤 孕蕴粤孕 阳性而各种淋巴细胞标记阴性,可与淋巴瘤鉴别。 (圆) 胚胎癌: 癌细胞胞浆宽广,核大而不规则且呈泡状, 核仁明显, 细胞核较拥挤, 似有重叠。在诊断时需与间变型精原细胞瘤鉴别, 胚胎癌 CD30阳性, 而精原细胞瘤多为阴性。 (猿) 卵黄囊瘤: 多种排列方式, 其中如本例中的微囊型 (又叫网状型) 最常见。 微囊型卵黄囊瘤的特点是细胞排列成蜘蛛网状, 细胞内有空泡形成, 常有黏液基质, 有特征性的卵黄囊小体和糖原染色阳性的透明球出现, 免疫组化AFP 和 CK 阳性。 本例术前 AFP 和 HCG 水平明显高于正常,肿瘤混合成分多, 但组织结构较典型。TMGCT 的生存期多为 20耀132个月,中位生存期 42个月, 预后与肿瘤临床分期及其包含的肿瘤组织学类型有很大关系 [ 5] 。病理诊断时应广泛取材切片, 避免遗漏。在诊断混合性生殖细胞肿瘤时需要指明肿瘤组织学类型。 转自:《天津医药》 ISTIC PKU -2010年4期-鄢丽敏,宋文静