打开应用

双动股骨头置换术后假体松动、下沉、股骨骨缺损

徐医师   四川大学华西医院
骨质疏松

主诉 病史

主诉:左双动股骨头置换术后左髋疼痛逐渐加重伴活动障碍1+年 现病史:患者6+年前摔伤左髋部疼痛伴活动障碍,拍片示"左股骨颈骨折",予以"左双动股骨头置换术",术后左髋无疼痛,能上下楼梯,行走无受限,日常生活无受限。1+ 年前患者出现左髋部疼痛,活动时易出现疼痛,起步疼痛明显,休息及夜间无疼痛,口服止痛药等对症治疗,疼痛略缓解后逐渐加重,行走受限,半年前出现跛行,后予以扶双拐跛行,不能上下楼,穿鞋袜困难。疼痛逐渐加重,不能行走,仅限于室内活动,2月前使用轮椅。现双拐辅助下可站立,但患肢因疼痛不能负重,仅能步行几步,患肢站立痛。现我院门诊检查示ESR正常,外院检查示CRP正常。现为求手术治疗收入院。 既往史:30+年前感冒后用链霉素致耳聋,用助听器3年。否认肝炎、结核或其他传染病史,否认过敏史,10+年前阑尾切除术。

查体 辅查

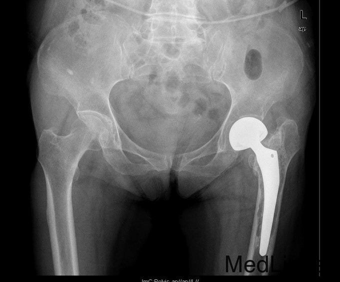
查体:专科:左髋部后外侧陈旧手术瘢痕,左髋关节前方压痛、无轴向叩击痛阴性,无大转子叩击痛,双下肢感觉及血运均正常。双下肢肌力V级。动量:右髋内外旋诱发疼痛,屈曲90度疼痛。外旋明显滚动试验阴性,左髋4字试验阳性。双下肢等长。左髋关节屈90°,伸0°,外展40°,内收20°,内旋30°外旋10°。右髋关节屈120°,伸直0°,外展40°,内收20°,内旋30°外旋30°。 辅助检查:2010-12-08 ESR 6.0mm/h,2011-01-04外院CRP8.5mg/l(参考范围0-10mg/l)X线示左双动股骨头置换术后,假体松动、下沉,髓腔内可见骨水泥影。近端干骺端骨质明显缺损。髓腔内侧皮质形态不规则。

诊断 处理

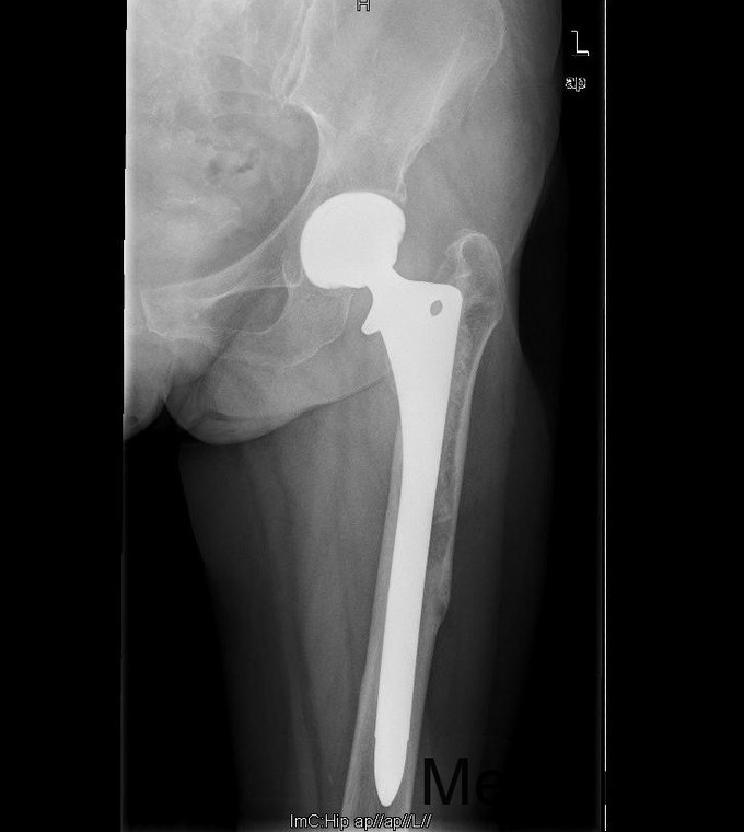
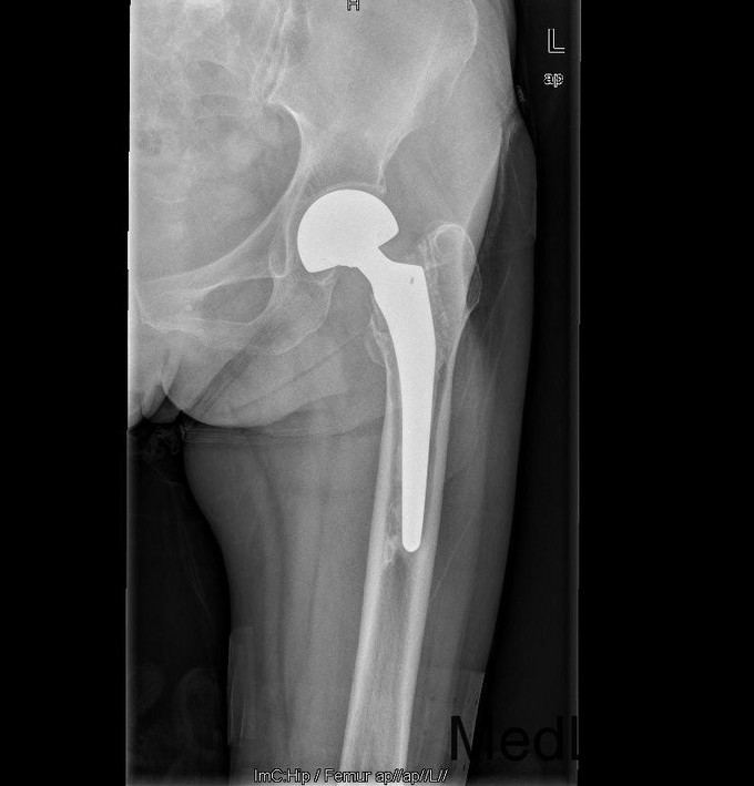
诊断:左双动股骨头置换术后假体松动、下沉、股骨骨缺损(PaproskyII型) 治疗:患者在全麻下左双动股骨头假体取出+同种异体骨植骨+左全髋关节翻修术,术后予以抗炎(二联)+抗凝+镇痛+护胃+补液等治疗,并予以抗骨质疏松药物

随访 讨论

出院时左髋可屈曲90°,伸直0°,外展30° 讨论: 1、髋臼侧是否置换关键看什么? 2、Paprosky分型? 3、高龄患者行骨科大手术围手术期应着重注意哪些方面?( 体力、肺部感染、液体量与心功能、营养与饮食、锻炼与下肢深静脉血栓~~~~~) 4、假体柄的选择有何要求? 5、术后1天与术后3月的片子有何差别,试分析原因

发布于 15-10-11 08:19

6 个评论

发送