下载或打开 医联APP 查看完整评论
立即下载
打开APP
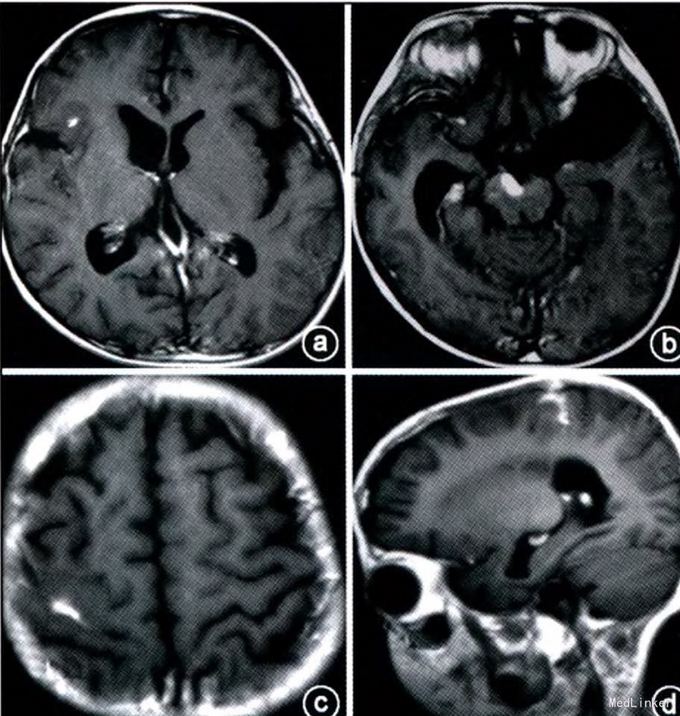
患儿男,4岁,以恶心呕吐伴头痛进行性加重1月余就诊。
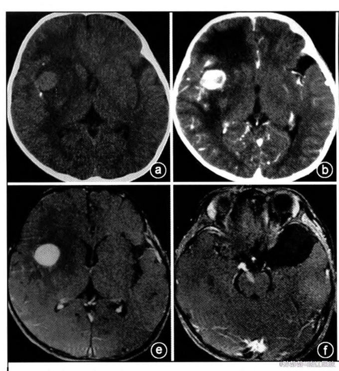
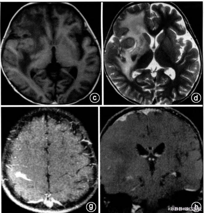
辅查:眼底检查示双侧乳头水肿,颅脑CT示右额叶等密度占位,伴钙化。增强后明显强化,约2厘米。增强MRI T1加权呈等信号,T2 加权等或稍低信号。脑桥、右顶叶也可见病灶,病灶周围可见水肿。


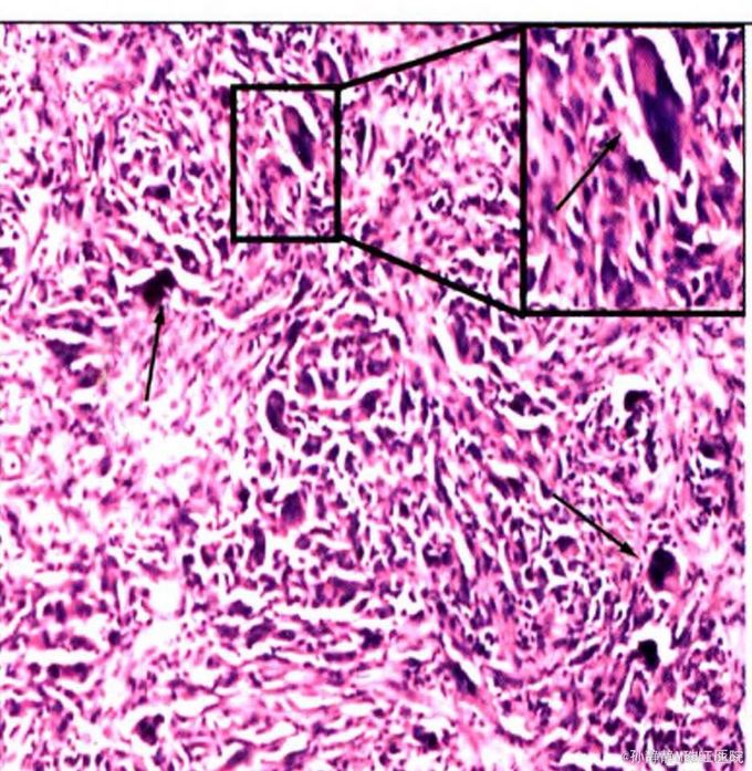
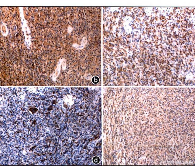
初步诊断:颅内感染性肉芽肿:淋巴瘤?结核?白血病脑病? 处理:考虑患儿有明显颅内压增高症状,行右侧扩大翼点入路开颅手术,切除右额叶明显病变。病理示明显新生血管形成和炎性细胞浸润,部分见组织细胞,核为肾形,疑为朗格汉斯细胞。免疫组化CD68及波形蛋白阳性。S-100及Cd 1a部分细胞阳性。 确诊:颅内朗格汉斯增生症。


随访:术后4周开始化疗,随访六个月未见切除病灶复发。 讨论:本例患儿为仅以颅内侵犯的朗格汉斯增生症较为少见。手术为首选方式,多数预后良好。 doi:10.3760/cma.j.issn.1001-2346.2012.10.015
