下载或打开 医联APP 查看完整评论
立即下载
打开APP
患儿女,4月大,因头面部及躯干部、四肢出现皮损2月入院。
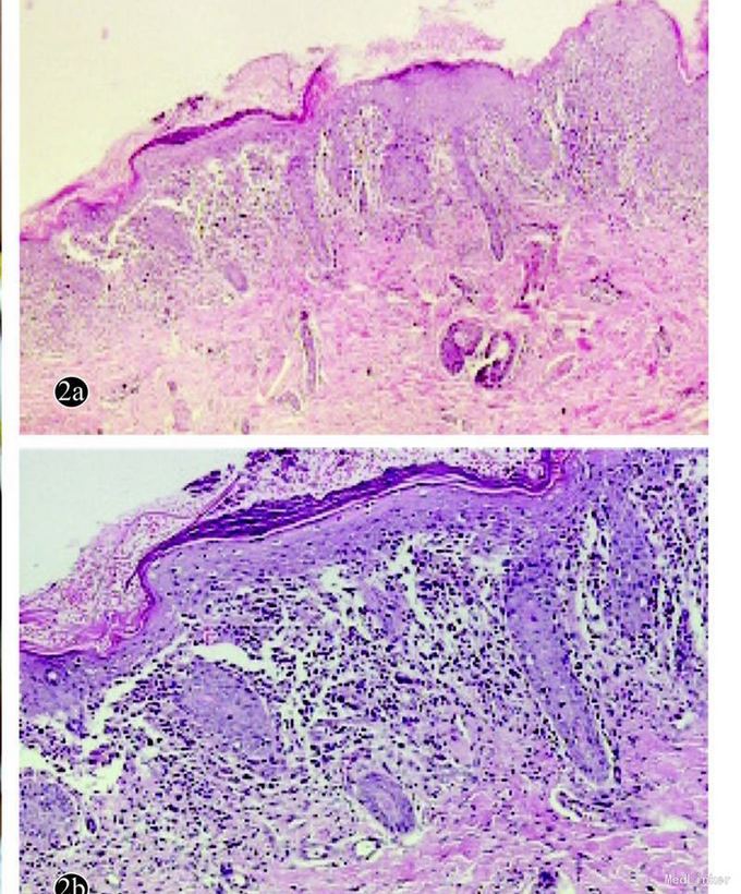
查体:全身皮肤干燥,可见散在或群集的淡红色丘疹,覆有棕黄色鳞屑,部分皮损痂可见皮消退后留有淡白色蜡样光泽扁平细小丘疹及斑疹。颅骨等未见缺损。 辅查:皮损病理见基底细胞液化变性,真皮乳头见组织细胞浸润。CD1a,S100,Cd68均阳性。胸腹Ct无异常。


诊断:朗格汉斯组织细胞增生症 处理:予外用康酸莫米松软膏及夫西地酸软膏涂抹患处。2周后复诊皮损基本消退。
随访:2周后复诊皮损基本消退,远期预后有待进一步随访。 讨论:本例患儿轻,应为先天性自愈性LCH,主张保守治疗。