下载或打开 医联APP 查看完整评论
立即下载
打开APP
患者女,38岁,因“未避孕未孕5年”入院 既往月经规律,G2P1A1。第一胎顺产,体健。
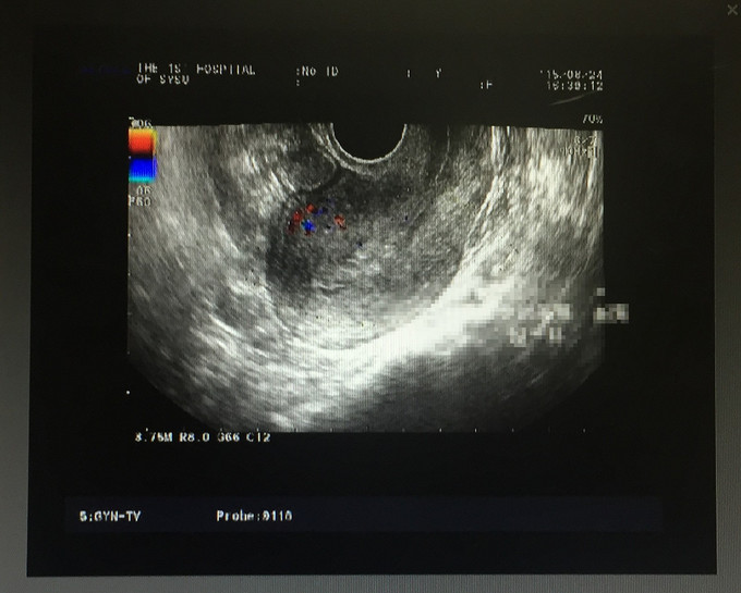
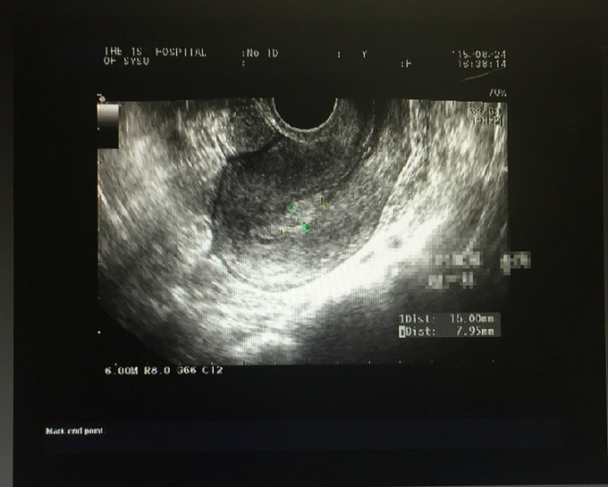
妇检:外阴:发育正常,阴毛分布正常;阴道:通畅,未见异常分泌物,粘膜正常无充血,水肿,无血污;宫颈:光滑,常大,无接触性出血,无抬举痛,未见活动性出血。宫体:前位,常大,无压痛。双附件:未扪及包块,无触痛。 外院输卵管造影:子宫形态,大小正常,右输卵管积液,左侧输卵管间质部梗阻。 我院B超:子宫内膜不均,考虑子宫内膜多发息肉。


诊断:继发性不孕症。 治疗:宫腹腔镜联合诊治术。
讨论:不孕症病因复杂,一般方法对不孕症病因难以诊断,常用方法有子宫输卵管碘油造影、基础体温测定、B超监测排卵、诊断性刮宫。每一种检查方法均有其局限性,且费时较多,很多不孕症患者经长时问检查仍未能明确不孕原因。宫腔镜、腹腔镜联合手术,可以直接观察盆腔情况,了解输卵管的形态改变、粘连范围及梗阻部位,同时根据病变情况进行矫治,并通过官腔镜插管加压通液使输卵管恢复通畅。宫腔镜下可直视官腔形态及输卵管开口情况,直接插管通液,能避免盲目通液的弊端。同时可操作一些困难的官腔镜检查或手术如子宫纵隔,子宫腔粘连等,并在腹腔镜监视下进行,以保障手术的安全性。宫、腹腔镜联合诊治术同时诊治官腔、腹腔及其通道输卵管的异常,并在宫腔镜下行输卵管通液,有的放矢地输通输卵管,大大提高了妊娠率。