下载或打开 医联APP 查看完整评论
立即下载
打开APP
患者,女,75岁,主诉“咽部卡鱼刺后咽部疼痛不适1月余”。

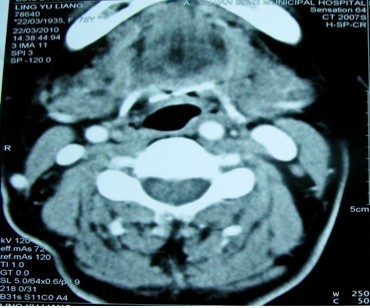
入院后全麻下行“直接喉镜下喉肿物活检术”,术中检查会厌谷未发现异物,取左侧会厌舌面粘膜溃疡组织送病检,术后病检示“(咽喉)炎性坏死物及粘膜慢性炎,鳞状上皮增生”。术后一周后患者又突感咽部剧烈疼痛,无发热,无呼吸困难,喉部检查见会厌无红肿,活检创面愈合良好,左侧杓会厌皱襞稍肿,行喉部CT检查示舌根稍上层面金属异物影,局部伪影形成,考虑金属异物。
诊断:颈部迁徙性异物 治疗:于局麻下行颈前舌骨上径路咽部异物取出术,沿颈部舌骨上缘皮肤横形切开,暴露舌骨,分离至右侧舌骨大角,取出长约2.5cm波浪形尖端锐利之细铁丝一根,术后抗炎止血治疗,患者一周后治愈出院。
本文病例虽然最后取出的异物与患者主诉不一致,但是入院后根据电子喉镜检查和食道钡棉检查未发现异物,如果医生有迁徙性异物的意识或警惕性,或能尽早确诊,减轻病人痛苦。