下载或打开 医联APP 查看完整评论
立即下载
打开APP
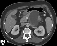
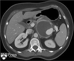
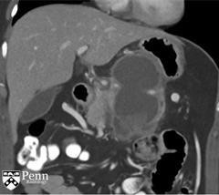
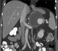
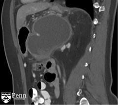
马女士, 55岁,左腰痛。腹部增强CT如下图所示。





于胰体/尾部的巨大的分叶状的囊性肿块,包绕脾动脉。其内可见一致密物在病变的内部下方与其分层。脾静脉内形成血栓,导致明显的胃肝和胃脾静脉曲张。见一假性动脉瘤起源于脾静脉的分支。
诊断:粘液性囊性肿瘤伴低度不典型增生,仅局限于胰腺,邻近慢性胰腺炎和假性囊肿形成伴囊内血栓。
CT影像学特征: 粘液性囊腺瘤呈单房或小分隔样囊性病变,边界清,呈低密度,包绕胰腺实质。囊内容物为液性密度。囊壁上可见周边的或曲线形钙化。对比增强扫描显示囊肿壁强化,并强化隔膜和壁结节。壁结节或分隔的增厚和钙化的出现强烈提示恶性病变。肿瘤末端,胰腺可能会出现如慢性胰腺炎的变化。搜寻病变局部浸润周围器官证据的重要性。 粘液性囊性肿瘤较罕见,其约占胰腺外分泌肿瘤的2.5%。 它们从良性生长缓慢的囊腺瘤(67% )到以攻击性和侵袭性粘液性囊腺癌(33%)各不相同。 有些病变是显著恶性的,但是所有的病变都被认为是潜在恶性的。常累及胰腺体尾部。 该病显着的病理特征是周围的卵巢型基质的存在。 最常见于五十至六十岁女性(女性与男性的比例为9 :1)。 患者通常无临床症状,病变可被触及或患者有症状时病变的尺寸一般大于10厘米。 由于良性肿瘤可以随时发展为浸润性癌,所有粘液性囊性肿瘤认为是手术的指征。