下载或打开 医联APP 查看完整评论
立即下载
打开APP
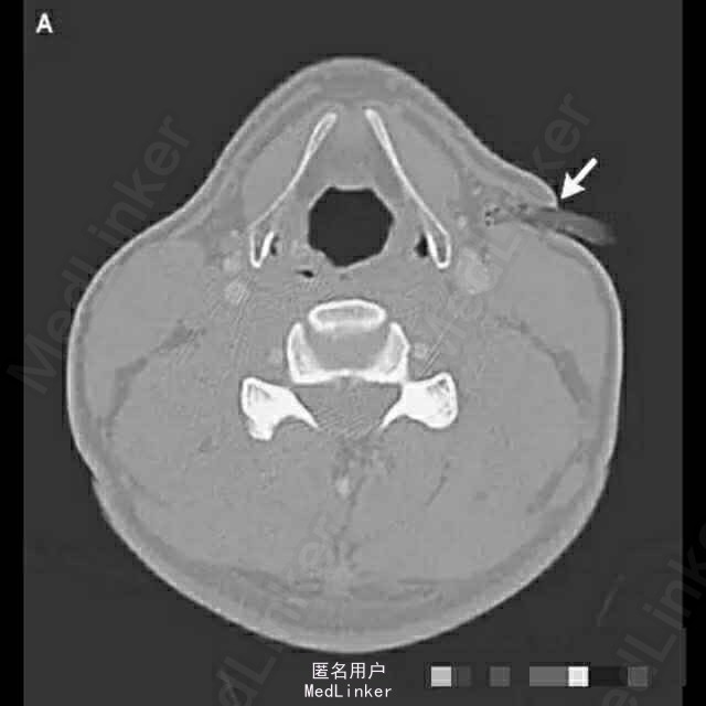
40岁男性患者,平素健康,在野外骑行山地自行车时不慎跌倒,颈部被一根直径2 cm的树枝刺穿。患者未自行拔出树枝,后自行到急诊室求医
CT扫描可见颈部左侧、甲状软骨上方的软组织处有一异物,该物体穿过颈阔肌并延伸至胸锁乳突肌前缘。树枝从皮肤刺入颈部的深度为1.6 cm,未有伤及血管或气管的证据。


该患者在手术室内行异物拔出术,医生对伤口进行探查、冲洗和缝合。术后病情平稳。
CT未有伤及血管或气管的证据。穿透性颈部伤可导致血管、气管、颈椎或神经的损伤。如果患者出现大血管损伤,刺入的异物可起到填塞的作用。因此,在进行放射学检查或手术探查之前,保持异物原来的位置可能有一定获益。N Engl J Med. 2015 Jul 23;373(4):366. doi: 10.1056/NEJMicm1412571. No abstract available.