下载或打开 医联APP 查看完整评论
立即下载
打开APP
主诉:腰部疼痛1年余,伴左下肢疼痛麻木3月。 病史:女性患者,53岁。患者1年余前在做家务时出现腰部剧烈疼痛,当时腰部活动受限,在外院门诊诊断为腰肌劳损,给予对症治疗,效果较好。1年余来活动后腰部均出现疼痛,反复出现。最近3年以来,患者腰部疼痛时间延长,加重,并伴左下肢麻木,放射痛至足踝处。患者一般情况尚可。
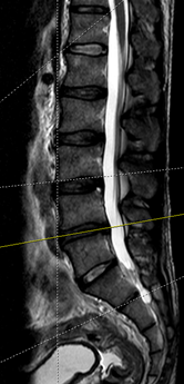
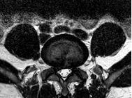
查体:腰4/5、腰5/骶1棘间及左右棘旁轻压痛、叩击痛,左侧坐骨神经出口处明显压痛。左小腿外侧感觉略减退,左侧伸膝、踇背伸肌力4级,左侧直腿抬高试验20°(+),加强(+),Lasegue征(+),左侧4字征(+),左侧股神经牵拉试验(+)。双侧Babinski 征及Oppenheim 征(-)。 辅助检查:三大常规、血生化、肝肾功能均未见明显异常。患者腰椎动力位片正常,其余重要腰椎影像学如下。




诊断:腰椎间盘突出症(L4/5) 治疗:患者入院后尽快完善相关检查,患者目前腰椎稳定性尚可,暂拟”椎间孔镜微创“治疗。
随访:患者术后3天无异常即可出院,可早期下地活动,手术创伤小。但部分患者可能会复发。