下载或打开 医联APP 查看完整评论
立即下载
打开APP
主诉:腰痛伴左小腿外侧麻痛4年余。 病史:男性患者,54岁。患者4年前搬重物后出现腰痛,活动后疼痛加重,休息后稍缓解,无双下肢活动障碍。在外院就诊诊断为“腰肌劳损”,给予敷药及理疗,疼痛有所缓解。但4年来腰痛反反复复,最近半年加重尤为明显,并出现左小腿外侧麻痛,放射至足踝处,大小便无障碍,一般情况尚可。
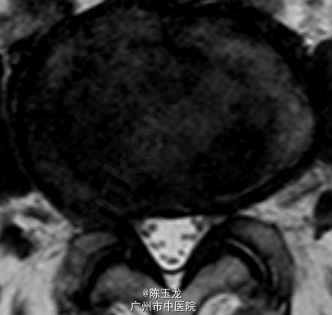
体查:腰椎活动稍受限,腰部有明显叩击痛,左小腿外侧区域感觉减退;双侧直腿抬高试验(—)。 辅助检查:三大常规、血生化、肝肾功能未见明显异常。腰椎MRI示:L4/5椎间盘突出。图片如下。



诊断:腰椎间盘突出症 处理:入院后完善相关检查,经专家组讨论,拟行手术:椎间孔镜下L4/5椎间盘摘除+射频消融术。
讨论:随着脊柱微创的发展,椎间孔镜的运用也越来越广泛,在此想邀请各位同道讨论一下对于这位患者的情况,您会选择什么手术方式?