下载或打开 医联APP 查看完整评论
立即下载
打开APP
主诉:腰痛2年余,左小腿外侧麻痛半月。 病史:男性患者,52岁。患者2年前在做体力活时出现腰部剧烈疼痛,当时腰部活动受限,在外院门诊诊断为腰肌劳损,给予对症治疗,效果较好。2年来活动后腰部均出现疼痛,反复出现。最近半月以来,患者腰部疼痛时间延长,加重,并伴左小腿外侧麻木,放射痛至足踝处。患者一般情况尚可。

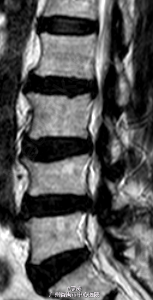
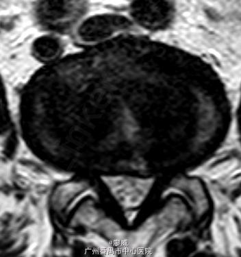
体查:左小腿外侧区域感觉减退;左侧直腿抬高试验50°(+),其余未见明显异常。 辅助检查:三大常规、血生化、肝肾功能均未见明显异常。患者腰椎动力位片正常,其余重要腰椎影像学如下。


目前诊断:腰椎间盘突出症。 处理:入院后完善相关检查,术前给予对症治疗,科里术前讨论决定:拟行手术:椎间孔镜下L4/5椎间盘摘除+椎间孔扩大成形+射频消融术。
讨论:该患者在影像学上看有多个节段的腰椎间盘突出,但最严重的是L4/5,结合患者临床症状及体查,主要也是L4/5。这虽然术后的情况说不定,也许完全缓解,也许还残留其他节段存在的问题。