下载或打开 医联APP 查看完整评论
立即下载
打开APP
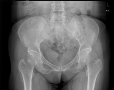
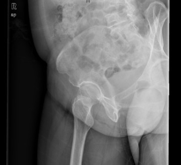
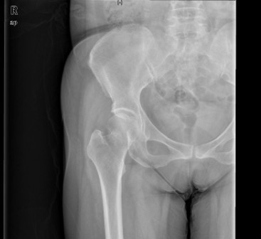
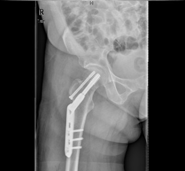
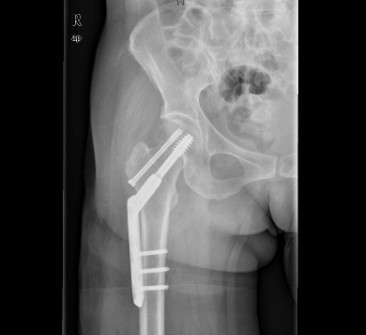
患者女,61岁,因“摔伤致右髋关节疼痛、活动受限9小时”入院。患者于入院前9小时行走时不慎摔倒,右侧肢体着地,当即感右髋关节及右大腿上段疼痛,活动受限,不能自行站立,受伤时及伤后无昏迷,无恶心、呕吐,无心累、气促,无腰痛及肉眼血尿。因休息后无缓解,急诊到当地医院行骨盆平片提示“右股骨颈骨折”,未做任何治疗,患者为求进一步治疗,遂急诊来我院,急诊以“右股骨颈骨折”收入住院。


查体:右髋关节、右大腿皮肤完整性好,右下肢轻度外旋。右腹股沟中点压痛明显,右股骨无明显压痛,未扪及明显骨擦感。右髋关节主被动活动受限。右下肢较左下肢短缩1cm。 辅查:院外X片右股骨颈骨折。

诊断:1、右股骨颈骨折(Garden III);2、骨质疏松症 治疗:择期手术


股骨颈骨折常发生于老年人,随着人的寿命延长,其发病率日渐增高,尤其随着人口老龄化,已成为严重的社会问题。其临床治疗中存在骨折不愈合和股骨头缺血坏死两个主要难题。
