下载或打开 医联APP 查看完整评论
立即下载
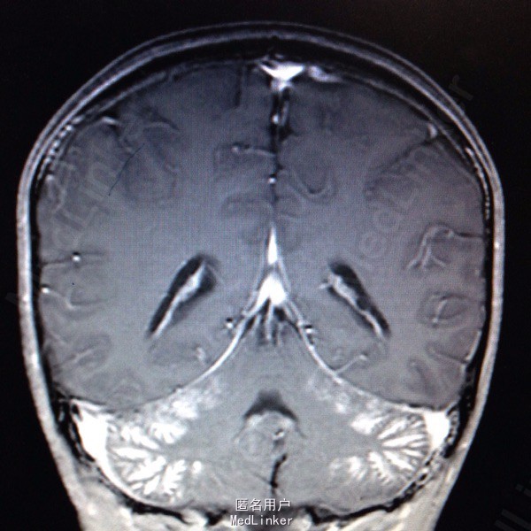
打开APP
患儿男,5岁,因“神志不清3小时”入院。患儿于凌晨00:00在密闭空调房间吸入汽油发电机残余气体被家人发现神志不清,无发绀、抽搐,肢体活动障碍,当地医院查动脉血气分析:Ph 7.29,pO2 93.1mmHg,pCO2 32.8mmHg,K 2.9mmol/L,Glu 11.77 mmol/L,Lac 4.9 mmol/L,BE -8.8 mmol/L,考虑患儿病情危重转入我院。
查体:面罩吸氧,甚至浅昏迷,CRT 2s,双侧瞳孔等大等圆,直径约4mm,对光反射迟钝,口唇红润,双肺可闻及干啰音,四肢肌张力偏高,以左侧为主,病理反射Babinski征阳性。辅查:血气分析提示碳氧血红蛋白8.4%,急诊行高压氧治疗,血常规:白细胞14.48G/L,血红蛋白120g/L,血小板291G/L;头颅MR检查:1.双侧小脑半球皮层及皮层下多发脑回样强化,双侧基底节区斑片状强化,结合病史资料,考虑一氧化碳中毒引起;2.双侧乳突炎症。



诊断:急性一氧化碳中毒,一氧化碳中毒脑病,代谢性酸中毒,低钾血症。治疗上予输注红细胞、白蛋白、降低颅内压、营养神经、纳洛酮促醒、改善循环等治疗,并安排睡心脑床、磁疗、电疗、肢体运动训练、吞咽功能训练及感觉统合治疗。目前患儿神志清楚,表情淡漠,与家人有肢体语言交流,能示意动作,能听从简单指令,双眼视人视物欠佳,流涎多,不会吞咽及咀嚼,双上肢活动欠佳,可主动抓物,能独站及行走。
一氧化碳中毒脑病时多损伤基底节区、额叶、颞叶,本病例除基底节区损伤外,双侧小脑半球皮层及皮层下也受累,临床上还是比较少见的。