下载或打开 医联APP 查看完整评论
立即下载
打开APP
老年女性,67岁,因发现右肾囊性占位3周入院。
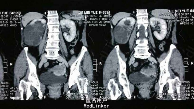
查体:双侧肾区无膨隆,双侧肾区无叩压痛,未触及肿块;右侧腰部可见陈旧性手术疤痕。肾功能检查提示左肾血流灌注正常,右肾血流灌注减低;右肾功能中度受损,总肾功能轻度受损,左肾不完全代偿。CT提示右肾下极前部见8.5x11x12cm类圆形不均匀低密度肿物,内见多发分房状囊样低密度影及不规则斑片组织状软组织密度影,增强扫面无明显强化,右肾多发囊性肾癌与多发囊性肾瘤鉴别。

诊断:右肾囊性肿物性质待查,双肾囊肿 治疗:给予经腹腔镜切除右肾。

随访:肿物病理未出,术后患者生命体征平稳。 讨论:肾囊肿常见,但是长这么大,组织切开时可见蜂巢状外观,有液体溅出,这样的肿瘤却不多见。请问这可能是什么肿瘤呢?