下载或打开 医联APP 查看完整评论
立即下载
打开APP
,男,74岁,半月前无明显诱因四肢出现散在米粒趾黄豆大小红斑、丘疹、瘀斑、未行特殊处理,皮疹逐渐增多,延及全身,伴腰痛,双腿酸困,头痛,午后发热,具体体温不详,于当地诊所行“针灸”治疗,疗效欠佳,伴双足肿胀。
专科检查:发病以来,无咽痛,流涕,有发热、咳嗽、偶有胸闷、气短、呼吸困难,有恶性,呕吐,呕吐物为胃内容物,无腹痛,偶有腹泻,精神可,食纳差,大小便无明显异常。全身皮肤、粘膜未见黄染、皮温正常,湿度可,全身可见大量黄豆至甲盖大小不等之暗红色斑及瘀点、瘀斑、触痛阴性,皮疹对称分布,以双下肢踝关节周围皮肤为著,部分融合成片。双手,双足皮肤粗糙增厚,可见大量脱屑及皲裂,双下肢和足背水肿,毛发分布正常,粘膜未见皮疹,双手、双足多个指,趾增厚变形。
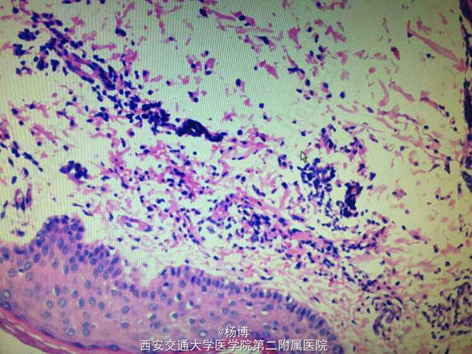
病理诊断结果为:“?部”小块皮肤组织,表皮角化过度,基底层色素增加,真皮浅层小血管周围有多量淋巴细胞,中性粒细胞浸润,片内结构结合临床,符合变应性血管炎改变。

鉴别诊断:1.过敏性紫癜:皮疹以瘀点、瘀斑为主,对称分布,无坏死、溃疡改变,无痛痒等不适,血小板计数正常。2.淤积性皮炎:有静脉曲张史,可见暗褐色色素沉着及散在大小不等的溃疡,渗出少量浆液性液体。3.湿疹:表现为暗红色斑片,界限清楚,常常对称分布,真菌检查阴性。