打开应用

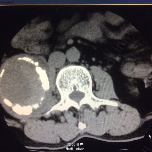
腰1右侧巨大神经鞘瘤

姚医师   吉林大学中日联谊医院
神经鞘瘤

主诉 病史

体检发现右侧腹膜后肿物 患者平素无任何不适。

查体 辅查

患者双下肢无明显浅感觉减退,肌力V级,肌张力不高,二便控制满意,病理征阴性。 腰椎核磁:腰1-4椎体右侧右肾下方团块状占位,大小约8#⃣6.8Cm,等T1长T2信号 腰椎Ct:占位周围见弧形钙化灶

诊断 处理

腰椎神经鞘瘤 切除右侧横突,见腰2神经根延伸呈膜状,沿腰2神经跟出口将神经切断,完整取出肿物。

随访 讨论

患者术后无症状加重,恢复满意。

发布于 15-09-23 21:06

0 个评论

暂无评论
发送