下载或打开 医联APP 查看完整评论
立即下载
打开APP
患者男,28岁,因“咳嗽、左侧胸痛3个月”入院,病程中偶感呼吸困难,无发热、盗汗及咯血等,曾于外院行胸片检查诊断为“左侧包裹性积液”,未进一步治疗。
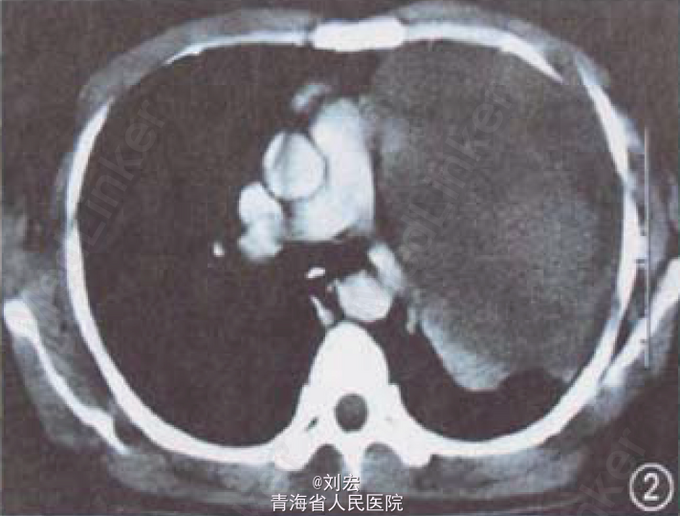
查体:左肺扣诊呈实音,呼吸音减弱。辅查:实验室检查未见明显异常;X线胸片可见左上肺巨大肿物(图1);胸部CT示左肺巨大肿物,内有数个点状钙化灶(图2);增强CT可见肿物轻度均匀强化。行CT引导下经皮肺穿刺活检,病理检查诊断为肺神经鞘瘤。


诊断:肺神经鞘瘤。处理:于外科行左肺肿瘤切除术,由于瘤体巨大,表面切开后吸出坏死组织后切除肿瘤。术后病理证实为来源于肋间神经的巨大神经鞘瘤。
随访半年未复发。神经鞘瘤有良、恶性之分,恶性者发生率较低,S-100蛋白被认为是恶性神经鞘瘤相对特异性标志物。肺神经鞘瘤预后良好,一经确诊手术切除后多不会复发,术中应注意保留有关的神经功能。由于肿瘤长期压迫肺组织,造成肺不张,一旦解除压迫,应注意预防发生复张性肺水肿。 doi:10.3760/cma.j.issn.1001-0939.2011.03.029