下载或打开 医联APP 查看完整评论
立即下载
打开APP
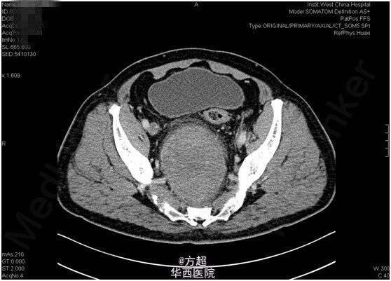
分享临床病例:盆腔巨大神经鞘瘤;中年男性,右下肢麻木、疼痛,大便习惯改变就诊,CT、MRI考虑盆腔巨大神经鞘瘤,椎管来源可能,完善术前准备后完整切除,术后病理神经鞘瘤,术后6月时随访无异常。神经鞘瘤由周围神经的Schwann鞘(即神经鞘)所形成的良性肿瘤;盆腔腹膜后神经鞘瘤较为少见,但因早期无明显症状,常因继发肢体疼痛麻木,或结直肠受压大便性状改变而就诊发现,通常包膜完整,手术完整切除为首选方案,但容易复发,且无特异性药物治疗。

