下载或打开 医联APP 查看完整评论
立即下载
打开APP
辅助检查:泌尿系增强CT:1.膀胱前方肿块,肿块与前壁关系密切,性质待定,膀胱外压性肿块(脐尿管占位?)与膀胱肿瘤鉴别2.双肾小囊肿3.右侧输尿管上部畸形可能。IVP提示:1.膀胱前上部占位病变2.右侧双肾盂肾盏畸形
脐尿管腺癌 脐尿管、膀胱部分切除术
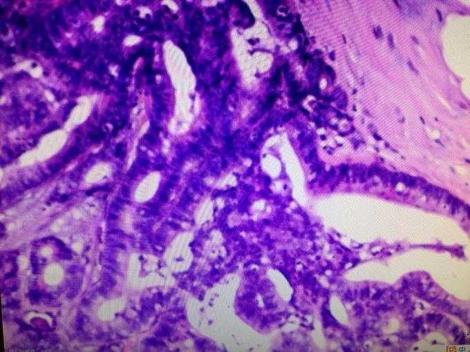
石蜡切片报告:(膀胱前顶壁)送检组织一块,其内见粘膜组织,粘膜中央见肿物一个,体积5x4x4cm,肿物侵犯粘膜下脂肪组织,脂肪相邻处见皮肤组织一块,体积3x2x0.5cm。镜下:(膀胱前顶壁)中分化粘液腺癌,浸润膀胱壁全层达浆膜外脂肪组织,另见小块皮肤组织,未见癌侵犯。局部区域可见腺癌与膀胱尿路上皮有过渡,考虑为膀胱来源。 出院后专科门诊定期复查膀胱镜:术后前两年,每3月复查一次;第3-4年每6个月复查一次;第5年以后每年复查一次。若复查结果异常,泌尿外科就诊。行膀胱灌注治疗:法码新 50mg/50ml 膀胱灌注,每周1次,共8次;后改为每月1次,共10次;总疗程1年。
