下载或打开 医联APP 查看完整评论
立即下载
打开APP
患者女,58 岁,因”下腹壁肿块行肿物切除术2个月“入院。患者2012 年12月出现无痛性肉眼血尿,未予重视。2013年1月妇科超声示下腹壁肿块,但子宫及双侧附件未见明显异常。
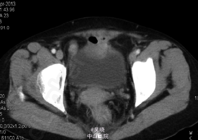
查体:未见明显异常。 相关肿瘤标记物未见明显异常。 上腹部增强CT 示肝脏多发小囊肿、右下肺多发结节。 下腹部增强CT于膀胱前方可见软组织肿块影,直径约3.7cm,其与膀胱、部分肠腔及前腹壁分界不清,增强可见强化。

术前诊断:腹壁下肿物。 予完善相关术前检查, 查无明显手术禁忌,全麻下行腹腔镜下腹壁肿物切除术。 术后病理示浸润型或转移性黏液腺癌。
脐尿管位于正中线Retzius间隙、膀胱顶与脐之间,是泄殖腔与尿囊等退化形成的纤维索条结构。脐尿管癌是一种罕见的恶性肿瘤,男性多于女性。脐尿管癌多发生于膀胱肌层内,向上沿Retzius 间隙生长或向下浸润到膀胱壁,发病位置隐匿,这一隐匿性生长的特点决定了其早期无明显临床症状,故术前早期诊断比较困难。脐尿管癌恶性程度高,手术后肿瘤易复发,晚期常转移至肺和腹部脏器,目前还没有标准的化疗方案,预后较差。