下载或打开 医联APP 查看完整评论
立即下载
打开APP
患者为44岁中年男性,因“反复肉眼血尿1月余”入院。 患者1月余前无明显诱因出现肉眼全程血尿,色鲜红,量较多,伴头晕,无尿频、尿急、尿痛,无发热,无腰痛。为求进一步诊治至我院泌尿外科就诊。


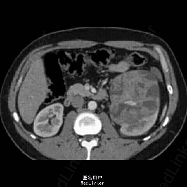
入院后完善相关检查,CT提示左肾下极占位,膀胱镜示左输尿管上段、肾盂占位。
考虑“左肾恶性肿瘤”可能性大。遂行肾癌根治术,术中见腹膜后及周围粘连明显。术后病理示:透明细胞癌,8*6*3cm,侵及肾纤维膜,分期PT4N0M0.术后干扰素治疗3个月。1年后因左上腹疼痛伴血尿再次至我院就诊,CT提示腹膜后软组织结节,腹主动脉旁、左侧腰大肌肿物。考虑肿瘤复发转移,遂行腹腔复发灶姑息切除,肿瘤30*20*30cm,术后与索坦治疗后。
2周期后复查提示肿瘤进展,盆腔复发。晚期复发转移的非透明细胞癌一线采用索坦或依维莫司,乳头状和未分类肾癌多采用索坦,嫌色细胞癌患者多采用依维莫司。索坦副反应更严重,依维莫司更容易引起停药。二线治疗方案采用索拉非尼,不良反应主要为高血压、蛋白尿。三线治疗为依维莫司,四线治疗为培唑帕尼。非透明细胞癌相比透明细胞癌预后整体较差,对靶向治疗和生物治疗反应较差。