下载或打开 医联APP 查看完整评论
立即下载
打开APP
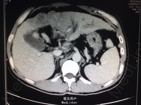
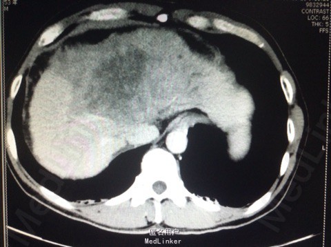
患者男,53岁。 主诉:上腹胀痛1月余。 现病史:患者于一月前无明显诱因出现上腹胀痛,为持续性胀痛,以剑突下为主,向右肩部放射,无恶心、呕吐等不适,腹痛与进食无明显关系。当地医院行CT 检查提示"肝脏右叶大片低密度影”,诊断为"肝癌可能",给予护肝等治疗,腹胀无明显好转。 起病以来,饮食欠佳,大便正常,小便色黄,体重下降3kg,体力下降。 既往史:乙型病毒性肝炎10余年。 查体:体温36.2℃,脉搏104次/分,呼吸20次/分,血压104/74mmHg,剑突下压痛,肝剑突下2横指。





辅助检查: 2013-10-16市中心医院CT提示,肝脏右叶大片低密度影 2013-10-22市中心医院胃镜1、中度食管静脉曲张,2、慢性浅表性胃炎;直肠 炎。 肝功能谷丙转氨酶22U/L,谷草转氨酶49U/L,白蛋白33.5g/L。总胆红素23.1 umo1/L,直接胆红素8.20 umo1/L。乙肝病毒(HBV-DNA) 3.13×103。 腹部超声:1.肝内巨大实质性肿块并肝左叶胆管扩张,2.肝硬化、脾肿大。
诊断:原发性肝癌(肝左叶) 处理:肿瘤细胞学性质需病理学确诊。计划给予护肝、免疫支持治疗。拟定于2013-10-31在全麻下行左半肝切除术。患者及其家属要求出院,放弃治疗。
讨论:对于该患者,已向患者及家属交代病情,患者诊断明确,治疗首选手术治疗。放弃治疗,肿瘤会进展迅速,严重影响预后。出院后可能会出现肝癌破裂出现、肝癌晚期可能出现恶病质,危机生命。