下载或打开 医联APP 查看完整评论
立即下载
打开APP
患者,女,51岁,右乳癌术后10月余,出现双肺转移1周 患者原发肿物位于右乳12点距离乳头2cm,大小约1.9*1.6cm,于2014-9-25行右乳癌改良根治术+前哨淋巴结活检术,术后病理示:RIDC,III级,ER(-)、PR(-)、HER-2(-)、Ki-67(+,70%),术后行EC*4-T*4化疗.
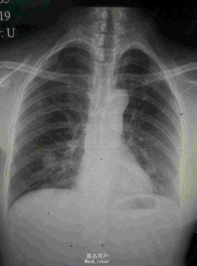
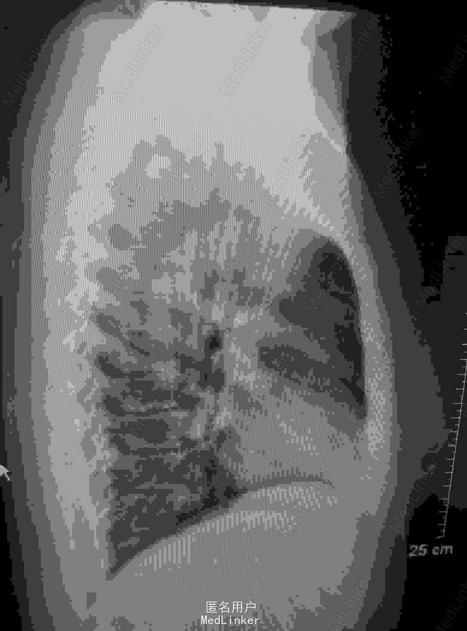
2015-08-19:我院胸片和CT示双肺多发结界影考虑转移瘤




诊断:右乳癌术后伴双肺转移 治疗:入院行骨扫描检查未发现转移,行GX方案姑息性辅助化疗
随访与讨论:这是1例典型的三阴性乳腺癌,复发转移速度实在是令人惊讶。所谓的三阴性乳腺癌是指癌组织免疫组织化学检查结果为雌激素受体(ER)、孕激素受体(PR)和原癌基因Her-2均为阴性的乳腺癌。这类乳腺癌占所有乳腺癌病理类型的10.0%~20.8%,具有特殊的生物学行为和临床病理特征,预后较其他类型差。从我遇到的这一例病例我们可以发现患者化疗后半年即出现转移,再次告诫我们虽然乳腺癌总体治疗效果很好,但像这一类的以及HER-2高表达的,预后十分不好,也没有较好的治疗指南,所有的化疗方案都是各个团队慢慢摸索出来的,具体效果还有待研究。