下载或打开 医联APP 查看完整评论
立即下载
打开APP
患者男性,59 岁,患终末期肾脏病,自 2008 年起行血液透析。此次患者因腿部渐起疼痛性、不愈合性溃疡 2 月就诊,无明确外伤史。

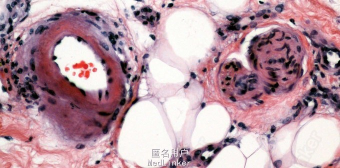
患者双侧足部脉搏可触及,未见慢性静脉功能不全。软组织 X 线检查示动脉弥漫性钙化,呈网状。 皮肤活检后组织学检查见血管硬化及血栓形成。


综合上述线索,患者诊断:钙化防御。 钙化防御目前还没有标准化治疗方案。根据目前治疗报道,患者停服抗凝药物,予西那卡塞、硫代硫酸钠、磷酸盐及血液透析等治疗。4周后,皮损好转出院。
讨论:钙化防御是一种导致组织坏死的系统性动脉中层钙化综合征。皮肤活检及影像学特征有助于诊断,但阴性结果不能排除诊断。虽然钙化防御发病机制尚不清楚,但有几个共同因素可促使其发展。此患者相关危险因素有:终末期肾脏疾病、继发性甲状旁腺功能亢进及口服抗凝药(苯丙香豆素)。最近研究表明,无动力性骨病患者的低甲状旁腺激素水平与钙化防御有关。