下载或打开 医联APP 查看完整评论
立即下载
打开APP
患者46岁女性,因“厌食、上腹部疼痛,伴有发热以及呕吐”入院。呕吐物为胆汁。她5年前曾因140kg行可调节胃束带减肥手术,但术后体重仍然在130kg波动。目前体重是131kg。余病史无特殊。
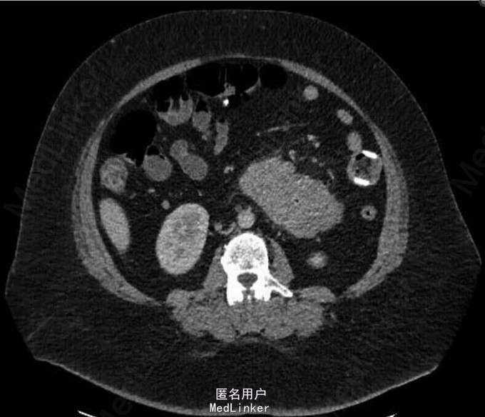
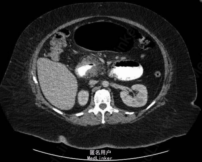
查体:发热(患者诉进行性加重,具体不详),心动过速,腹部稍膨隆。辅助检查:实验室检查提示白细胞增高(22×109/),CRP(359 mg/dl),腹平片提示胃十二指肠以及近段空肠扩张。CT检查提示胃束带移位,近段空肠梗阻,胃部出现扩张。


诊断:急性肠梗阻处理:迅速予以补液以及使用广谱抗生素。情况稳定后予以行腹腔镜下探查,证实胃束带确实有移位,而且近段的空肠出现了急性小肠梗阻,予以摘除胃束带。
术后患者恢复可。目前胃束带常见并发症有:.倾倒综合症、胃酸返流(通常是由于患者嚼食不足,造成束带处梗阻,较常见)、胃束带移位(尤其常见于暴食症肥胖患者。胃部蠕动造成束带移位,轻则失去减肥效果,严重者需要再次手术调整)、束带泄漏,由于束带本身缺陷或者手术中、术后束带损伤造成束带泄漏。需要再次手术取出或更换束带。你接触过的减肥手术还有那些吗?欢迎讨论下出现并发症的原因以及说说有关的预防措施是什么?本病例来源BMJ Case Rep. 2013; 2013: bcr2012007737.Published online 2013 Jan 17. doi: 10.1136/bcr-2012-007737