下载或打开 医联APP 查看完整评论
立即下载
打开APP
女,41岁, 主诉:腹部胀痛伴不排便、不排气1周, 现病史:一周前无诱因开始腹部胀痛,逐渐加重,以左上腹明显,不排便,不排气,恶心,呕吐数次胃内容物,在当地医院抗炎治疗不见好转,今排腹部平片诊断为“肠梗阻”,来诊。
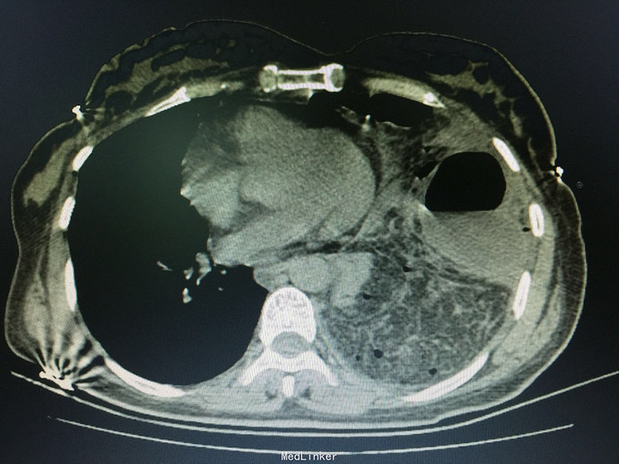
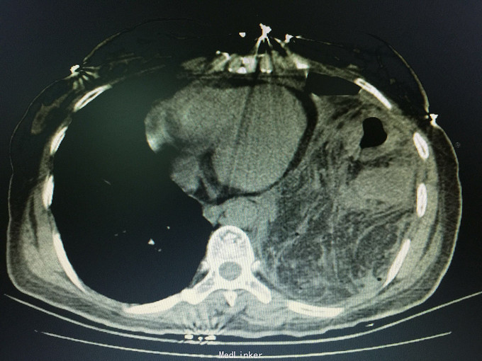
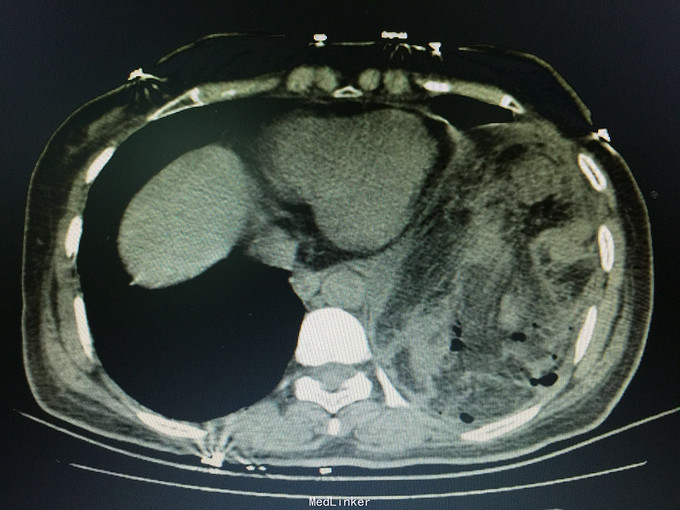
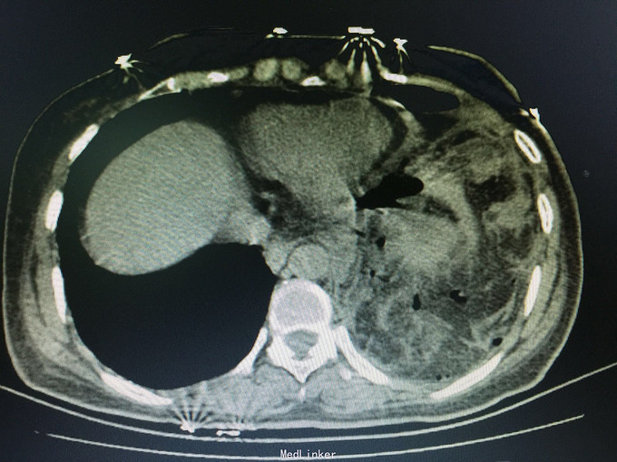
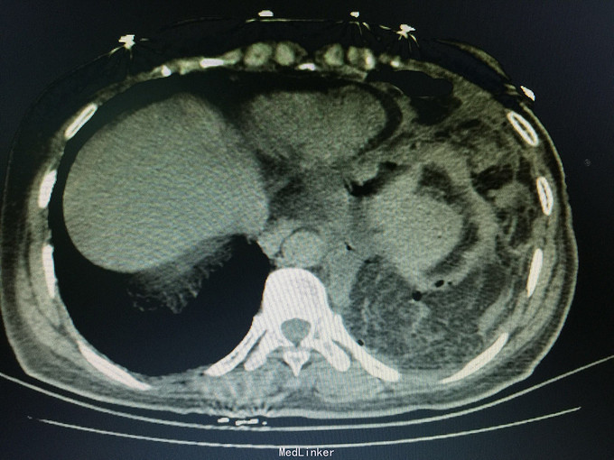
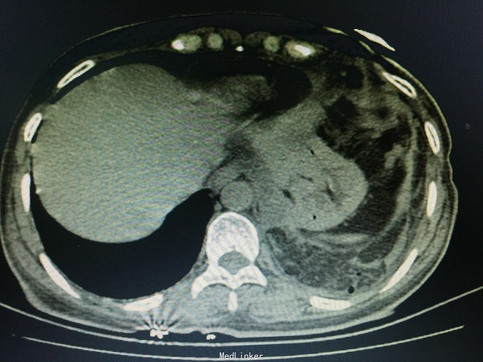
一般状态可,腹部平坦,未见肠型及蠕动波,脐周压痛,左上腹明显,无腹肌紧张,未及包块,移动性浊音阳性,肠音2次/分。 辅助检查:全腹CT:腹部肠管明显扩张,积液,左侧膈肌局部缺损,腹腔内肠管及系膜组织疝入胸腔。








诊断:膈肌疝,疝内容嵌顿,肠梗阻 处理:手术治疗。
讨论:年轻患者膈肌疝不常见,尤其疝入肠管引起肠梗阻病例更少见;追问病史,该患3年前被刀刺伤左侧季肋部,在外院住院观察,因未见脏器损伤1周后出院,现在考虑为膈肌损伤。