打开应用

磁性附着体局部可摘义齿应用一例

李医师   武汉大学口腔医院

主诉 病史

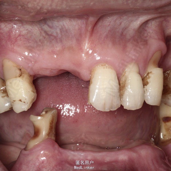
全口多数牙缺失,影响咀嚼

查体 辅查

上颌多颗前后牙缺失,下颌仅余留37和44。

诊断 处理

考虑下颌固位不佳,拟根管治疗44后磁性附着体修复下颌

随访 讨论

术后初期下颌固位良好,但是半年后磁性附着体部位出现支点,义齿翘动。经过重衬后改善,建议该类修复定期复诊,定期重衬。

发布于 15-07-30 22:21

4 个评论

发送