下载或打开 医联APP 查看完整评论
立即下载
打开APP
患者,男,78岁。 主诉:左上后牙疼痛不适一月余。 现病史:患者述五年前左上后牙行烤瓷冠修复,近半年来自觉松动,咬物疼痛不适,近一个月症状加重,未做处理,现前来要求检查治疗。既往体健,无全身系统疾病时,药物过敏史及传染病史。
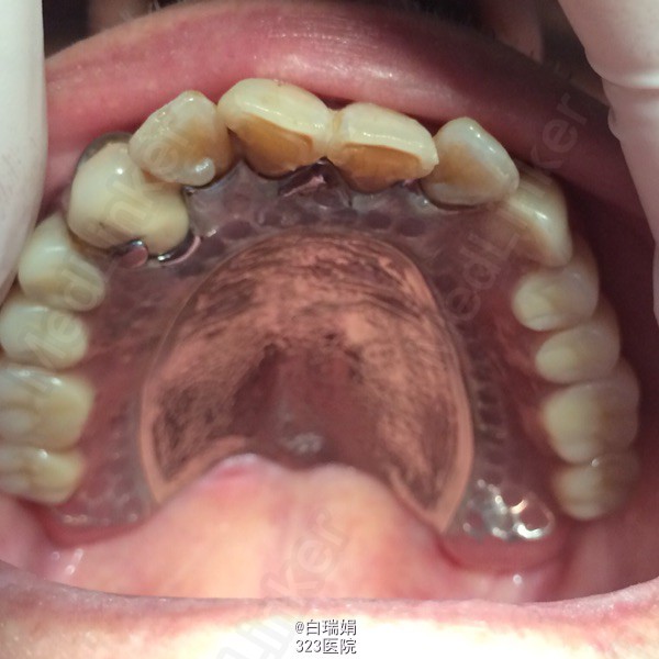
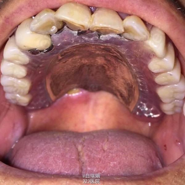
检查:左上3至左上7烤瓷联冠,松动2度,左上3、4、5、7叩诊(➕),左上7腭侧牙根吸收至根中1/3,右上4至右上7缺失,缺牙区牙槽嵴尚可,无明显骨突骨刺;X线示左上3、4、5牙周膜间隙增宽,根尖区低密度影像,左上5远中牙槽骨吸收至根中1/3,左上7牙槽骨吸收至根尖。


诊断:1、牙列缺损 2、左上烤瓷冠桥松动 3、左上3、4慢性根尖周炎 处理:1、拆除左上烤瓷冠桥,拔除左上5、7 2、左上3、4截冠后常规行根管治疗 3、左上3治疗后无症状制作根面磁性附着体 4、粘接根面附着体后取上下颌模型,纪录咬合关系,制作活动义齿 5、试戴蜡型,调整咬合关系,戴活动义齿,调合抛光,粘接另一半磁铁





戴牙五天后患者上腭后堤区出现溃疡,调改义齿,一周后患者复诊无不适。 希望各位同仁能提出宝贵的意见,共同学习

